首页
伤感说说
动漫配图
心情说说
抖音文案
伤感图片
伤感说说:
伤感的句子说说心情
空间说说
心情说说
爱情说说
女生伤感说说
人生感悟
心情不好的说说
说说带图片
关于生活的说说
说说心情短语
qq空间说说带图片
个性说说
励志名言
一句话经典语录
感悟人生的经典句子
短句吧
情感故事
抖音文案
伤感图片:
伤感图片带字
非主流伤感图片
唯美伤感图片
女生伤感图片
唯美意境图片
悲伤的图片
唯美意境伤感图片
只有字的伤感图片
说说图片
伤心的图片
美甲图片
图片大全
情感图片
微信头像男
动态壁纸
动漫配图
伤感图片
首页
>
头颅CT检查报告单图片
头颅CT检查报告单图片,头部检查报告单图片
小军的脑部ct光片及西安市儿童医院3月18日出具的相关报告.
河南郑大一附院ct检查闹乌龙16天花6万治疗无病右脑
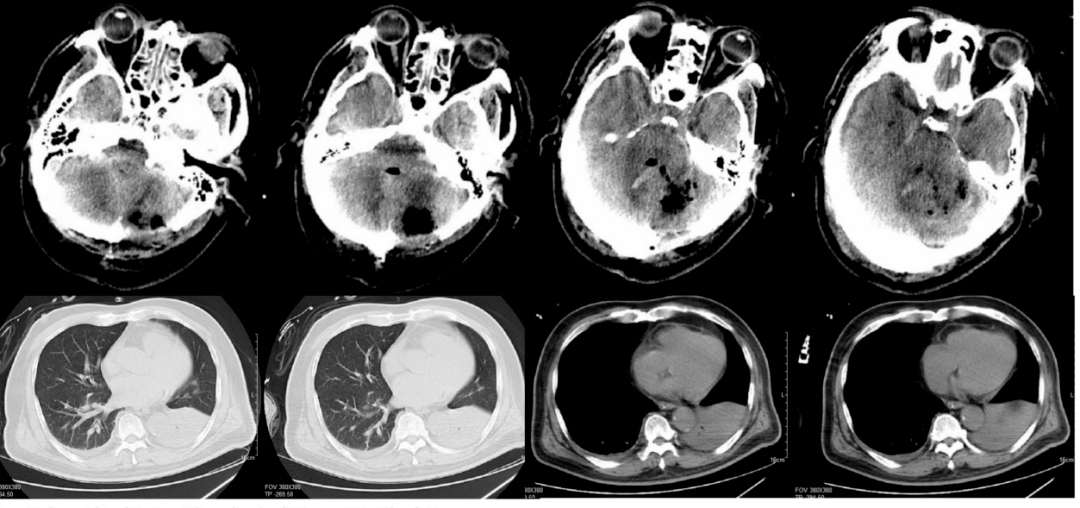
图1.患者入院时头颅及胸部ct.
心碎!孙埠两个月婴儿突发脑出血,命悬一线,残疾父亲含泪求助.
以上为头颅ct检查结果,患者右侧中,后颅凹可见巨大肿物占位影.
更多推荐
头部检查报告单图片
正常头颅ct报告模板
脑部ct报告单图片
脑ct检查报告单图片
ct检查报告单图片
心脏ct检查报告单图片
ct检查报告单图片模板
ct检查报告单图片空白
肺部ct检查报告单图片
头颅ct报告单
ct检查报告单
ct检查报告单结果
脑ct检查报告单
ct检查报告单模板
肺部ct检查报告单
ct检查报告单空白模板
正常的脑ct图片报告单
脑ct诊断报告单图片
ct报告单图片
心脏ct报告单图片
腹部ct报告单图片
ct报告单
肺炎检查报告单图片
ct诊断报告单
肺炎ct报告单图片
ct检查图片
ct报告单电子版
病理检查报告单
ct报告单模板
头颅CT报告