首页
伤感说说
动漫配图
心情说说
抖音文案
伤感图片
伤感说说:
伤感的句子说说心情
空间说说
心情说说
爱情说说
女生伤感说说
人生感悟
心情不好的说说
说说带图片
关于生活的说说
说说心情短语
qq空间说说带图片
个性说说
励志名言
一句话经典语录
感悟人生的经典句子
短句吧
情感故事
抖音文案
伤感图片:
伤感图片带字
非主流伤感图片
唯美伤感图片
女生伤感图片
唯美意境图片
悲伤的图片
唯美意境伤感图片
只有字的伤感图片
说说图片
伤心的图片
美甲图片
图片大全
情感图片
微信头像男
动态壁纸
动漫配图
伤感图片
首页
>
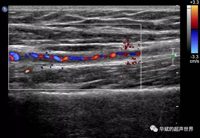
胫前胫后静脉超声图像
胫前胫后静脉超声图像,正常肺静脉超声图像
超声检查将双侧小腿动脉管腔不清,管腔内为红蓝相间的详细血流信号.
下肢血管超声检查及诊断思路(上)_静脉
六步法,掌握超声引导中心静脉置管术
胫前动脉血栓,侧支循环形成 - 超声医学讨论版 - 爱爱
胫前动脉血栓,侧支循环形成 - 超声医学讨论版 - 爱爱
更多推荐
正常肺静脉超声图像
右上肺静脉超声图像
静脉导管超声图
贵要静脉超声图
胎儿静脉导管超声图片
肠系膜上静脉超声图示
肠系膜上静脉超声图解
肠系膜上静脉超声
贵要静脉头静脉
胎儿静脉导管超声切面
四条肺静脉位置超声图
四条肺静脉超声切面
胎儿静脉导管图
正常静脉导管频谱图
贵要静脉解剖图
静脉导管a波反向图片
胎儿静脉导管解剖
肠系膜上下静脉解剖图
胎儿静脉导管
胎儿静脉导管正常值
胎儿静脉导管血流频谱
picc置管贵要静脉图
胎儿静脉导管a波反向
肠系膜上静脉