首页
伤感说说
动漫配图
心情说说
抖音文案
伤感图片
伤感说说:
伤感的句子说说心情
空间说说
心情说说
爱情说说
女生伤感说说
人生感悟
心情不好的说说
说说带图片
关于生活的说说
说说心情短语
qq空间说说带图片
个性说说
励志名言
一句话经典语录
感悟人生的经典句子
短句吧
情感故事
抖音文案
伤感图片:
伤感图片带字
非主流伤感图片
唯美伤感图片
女生伤感图片
唯美意境图片
悲伤的图片
唯美意境伤感图片
只有字的伤感图片
说说图片
伤心的图片
美甲图片
图片大全
情感图片
微信头像男
动态壁纸
动漫配图
伤感图片
首页
>
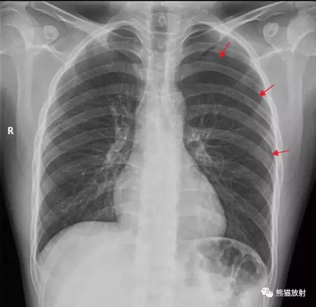
气胸影像图片
气胸影像图片,气胸胸片典型图片
气胸时如何大体判断肺被压迫的程度?
气胸的x线表现,6个病例搞定!
气胸(三) 教程文件.ppt
气胸的影像学表现在古代,气胸随时可能会要命.
呼吸版经验交流(7)气胸:影像学解读指南
更多推荐
气胸胸片典型图片
正常胸片影像图片
气胸的图片
气胸线图片
肺癌影像图片
气胸x线胸片图解
影像图片
肝癌影像图片
气胸胸片
气胸x线胸片
全息影像图片
腹脂线影像图片
影像科图片
肺纤维化图片影像
肺癌影像图片早期
倒车影像图片
医学影像图片
痛风石x线影像图片
肺癌影像图片晚期
气胸片子
肝癌ct片图片图解
影像图
全息影像图片素材
气胸微创手术疤痕图片
肩膀ct正常影像图片
医学影像图片素材
矽肺ct图片
气胸排气
人过安检影像图片
气胸