首页
伤感说说
动漫配图
心情说说
抖音文案
伤感图片
伤感说说:
伤感的句子说说心情
空间说说
心情说说
爱情说说
女生伤感说说
人生感悟
心情不好的说说
说说带图片
关于生活的说说
说说心情短语
qq空间说说带图片
个性说说
励志名言
一句话经典语录
感悟人生的经典句子
短句吧
情感故事
抖音文案
伤感图片:
伤感图片带字
非主流伤感图片
唯美伤感图片
女生伤感图片
唯美意境图片
悲伤的图片
唯美意境伤感图片
只有字的伤感图片
说说图片
伤心的图片
美甲图片
图片大全
情感图片
微信头像男
动态壁纸
动漫配图
伤感图片
首页
>
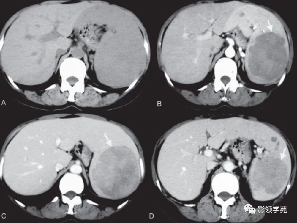
副脾CT
副脾CT,副脾CT
(有脂肪成分 病例二:左肾上腺区副脾.
ppt胰腺内副脾的影像学
脾脏肿瘤ct诊断
病例胰腺内副脾1例ct
【原创】副脾
更多推荐
副脾CT
副脾ct图片
副脾超声
副脾
副脾位置
脾脏和副脾图片
副脾图片
副脾超声描述
副脾超声报告
副脾超声图片
副脾彩超图片
副脾是什么意思
副脾影像图片
副脾的超声报告图
副脾的位置示意图