首页
伤感说说
动漫配图
心情说说
抖音文案
伤感图片
伤感说说:
伤感的句子说说心情
空间说说
心情说说
爱情说说
女生伤感说说
人生感悟
心情不好的说说
说说带图片
关于生活的说说
说说心情短语
qq空间说说带图片
个性说说
励志名言
一句话经典语录
感悟人生的经典句子
短句吧
情感故事
抖音文案
伤感图片:
伤感图片带字
非主流伤感图片
唯美伤感图片
女生伤感图片
唯美意境图片
悲伤的图片
唯美意境伤感图片
只有字的伤感图片
说说图片
伤心的图片
美甲图片
图片大全
情感图片
微信头像男
动态壁纸
动漫配图
伤感图片
首页
>
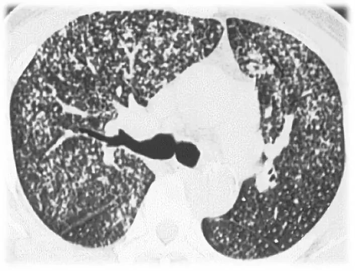
血型播散性肺结核
血型播散性肺结核,
图 1-1结核的急性,亚急性或慢性血行播散:结节较多,多数较小,边缘清晰
【出院必读】肺结核患者健康处方
喉结核并亚急性血行播散型肺结核误诊为喉癌,肺泡癌1例
血行播散性肺结核的影像表现及鉴别诊断影像天地
血行播散性肺结核的影像表现及鉴别诊断影像天地
更多推荐
麒麟魔聂风
原发综合征