首页
伤感说说
动漫配图
心情说说
抖音文案
伤感图片
伤感说说:
伤感的句子说说心情
空间说说
心情说说
爱情说说
女生伤感说说
人生感悟
心情不好的说说
说说带图片
关于生活的说说
说说心情短语
qq空间说说带图片
个性说说
励志名言
一句话经典语录
感悟人生的经典句子
短句吧
情感故事
抖音文案
伤感图片:
伤感图片带字
非主流伤感图片
唯美伤感图片
女生伤感图片
唯美意境图片
悲伤的图片
唯美意境伤感图片
只有字的伤感图片
说说图片
伤心的图片
美甲图片
图片大全
情感图片
微信头像男
动态壁纸
动漫配图
伤感图片
首页
>
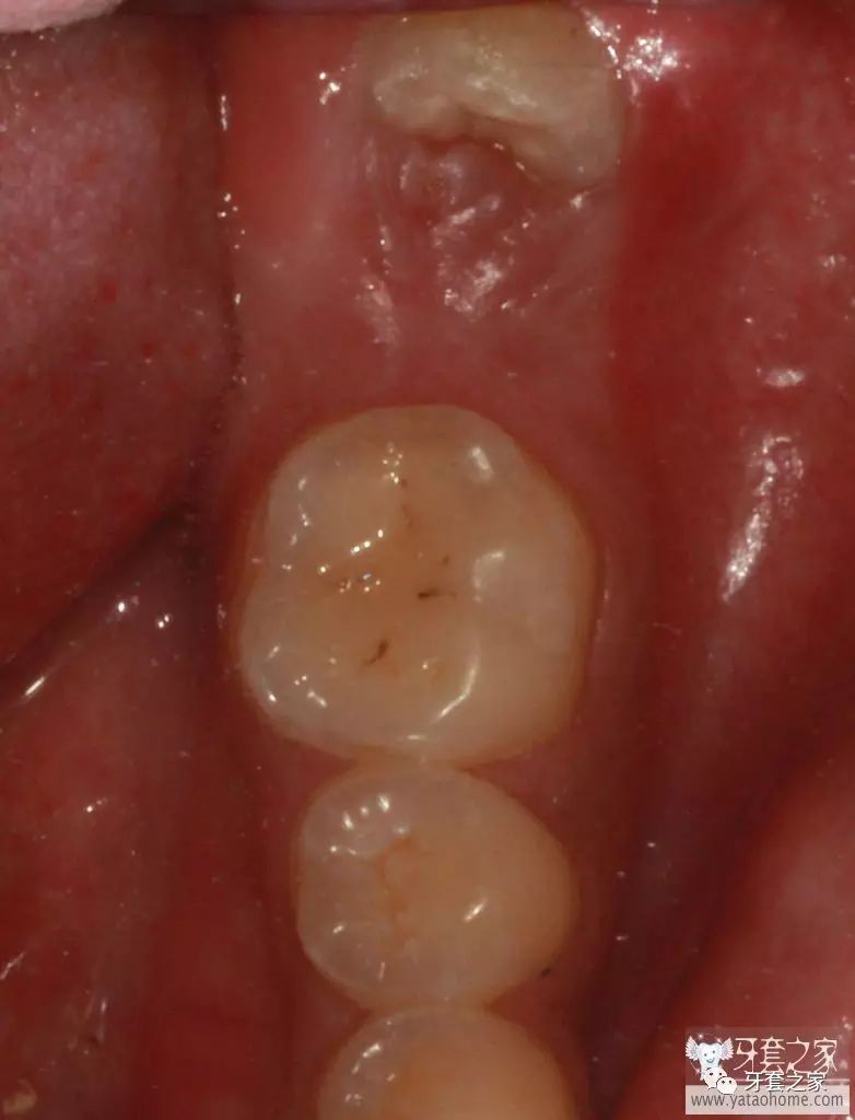
智齿烂了个洞味图片
智齿烂了个洞味图片,智齿烂了个洞
什么原因引起长智齿?
4,智齿发育不良
为什么要拔智齿?看看这组与牙医的对话你就明白了
智齿有个破洞可以不用拔牙吗?
科普你的智齿还有用吗什么情况下要拔智齿附埋伏智齿牵引成大牙例子
更多推荐
智齿烂了个洞
智齿烂了
拔智齿疼吗
智齿发黑烂了图片
牙齿烂了个洞严重图片
牙齿烂个洞图
牙齿烂个洞图补牙
智齿图片卡通图片
智齿图片
智齿后面的肉肿了图片
正常的智齿图片
不需要拔的智齿图片
智齿长什么样子图片
智齿图片蛀牙
哪种智齿最难拔图片
阻生智齿图片
智齿的位置图片
智齿图片发炎
智齿包在肉里面图片
小腿烂了洞的图片
牙齿烂洞
牙齿图片
智齿图片表情包
拔智齿后的白色假膜图
智齿长在哪里
长智齿
智齿拍片
智齿
如何判断自己长智齿了
身上烂洞是什么病图片