首页
伤感说说
动漫配图
心情说说
抖音文案
伤感图片
伤感说说:
伤感的句子说说心情
空间说说
心情说说
爱情说说
女生伤感说说
人生感悟
心情不好的说说
说说带图片
关于生活的说说
说说心情短语
qq空间说说带图片
个性说说
励志名言
一句话经典语录
感悟人生的经典句子
短句吧
情感故事
抖音文案
伤感图片:
伤感图片带字
非主流伤感图片
唯美伤感图片
女生伤感图片
唯美意境图片
悲伤的图片
唯美意境伤感图片
只有字的伤感图片
说说图片
伤心的图片
美甲图片
图片大全
情感图片
微信头像男
动态壁纸
动漫配图
伤感图片
首页
>
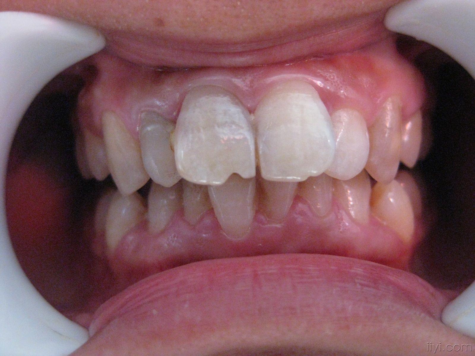
门牙继发龋
门牙继发龋,继发龋
一个小姑娘,门牙邻面龋,修复前后对比
门牙龋坏树脂修复一例
2,补过的牙齿出现继发龋
病人上颌3-3临面继发龋合并牙髓炎后已根管治疗
门牙龋坏树脂修复一例
更多推荐
继发龋
门牙蛀牙
继发龋x片
继发龋图片
门牙
下门牙
正常门牙
大门牙
门牙掉了
门牙缝
门牙突出
门牙前突
继发龋齿早期表现
儿童上门牙多生牙图片
门牙图片
宝宝门牙龋齿初期图片
奶瓶龋齿门牙早期图片
门牙卡通
大门牙卡通
急性龋
大门牙搞笑
正常牙齿咬合图
平滑面龋
门牙磨短的对比照片
唇系带过低门牙缝隙大
门牙掉了表情包
婴儿门牙缝隙大图片
宝宝门牙上有洞眼图片
缺门牙的搞笑图片
房间隔缺损封堵器图片