首页
伤感说说
动漫配图
心情说说
抖音文案
伤感图片
伤感说说:
伤感的句子说说心情
空间说说
心情说说
爱情说说
女生伤感说说
人生感悟
心情不好的说说
说说带图片
关于生活的说说
说说心情短语
qq空间说说带图片
个性说说
励志名言
一句话经典语录
感悟人生的经典句子
短句吧
情感故事
抖音文案
伤感图片:
伤感图片带字
非主流伤感图片
唯美伤感图片
女生伤感图片
唯美意境图片
悲伤的图片
唯美意境伤感图片
只有字的伤感图片
说说图片
伤心的图片
美甲图片
图片大全
情感图片
微信头像男
动态壁纸
动漫配图
伤感图片
首页
>
乳腺癌ct
乳腺癌ct,乳腺癌做完
iiib 期(下图仅显示锁骨上 ctv 层面)总体来说,rtog 推荐的乳腺癌引流
晚期乳腺癌内分泌诊疗病例精选绝经后hr乳腺癌术后局部区域复发病例
t2n2(4/18)m0 iiia 期(下图仅显示锁骨上 ctv 层面)病例 1:左侧乳腺癌
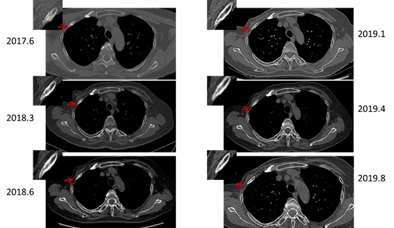
ct50694:右乳腺癌保乳术后七年,胸痛,呼吸困难
看如何决策:乳腺癌伴右上肺结节及两下肺病变_手机搜狐网
更多推荐
乳腺癌做完
乳腺癌手术
乳腺癌
早期乳腺癌
乳腺癌真实
乳腺癌ct片图片
乳腺癌男性
乳腺癌分期
乳腺癌真人
乳腺癌乳头凹陷
乳腺癌图片
乳腺癌早期症状
早期乳腺癌真人
乳腺癌病理报告
乳腺癌早期图片
乳腺癌手术后图片
乳腺癌彩超典型图片
乳腺癌的15个征兆
得了乳腺癌的图片
乳腺癌早期症状图片
乳腺癌颈部转移图片
真实乳腺癌的前兆图片
乳腺癌早期图片红点
乳腺癌的15个征兆图片