首页
伤感说说
动漫配图
心情说说
抖音文案
伤感图片
伤感说说:
伤感的句子说说心情
空间说说
心情说说
爱情说说
女生伤感说说
人生感悟
心情不好的说说
说说带图片
关于生活的说说
说说心情短语
qq空间说说带图片
个性说说
励志名言
一句话经典语录
感悟人生的经典句子
短句吧
情感故事
抖音文案
伤感图片:
伤感图片带字
非主流伤感图片
唯美伤感图片
女生伤感图片
唯美意境图片
悲伤的图片
唯美意境伤感图片
只有字的伤感图片
说说图片
伤心的图片
美甲图片
图片大全
情感图片
微信头像男
动态壁纸
动漫配图
伤感图片
首页
>
心脏he染色切片
心脏he染色切片,胸腺切片he染色
海马he染色求助
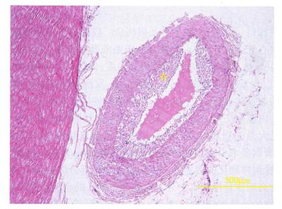
图4-9 心脏左冠状动脉旋支切片,he染色五指山小型猪高胆固醇高脂饲料
银川he染色的方法步骤
病理形态-he染色经验介绍
病理形态-he染色经验介绍
更多推荐
胸腺切片he染色
胃的he染色切片图
心脏病理切片图片
心脏切片
肾脏he染色
心脏组织切片
心脏切片图
小鼠心脏切片
胃的he染色切片图画图
胰腺组织he染色切片图
心脏切片绘图
心脏显微镜切片图
心脏切片图及其图解
心脏切片结构图
he染色
心脏切片手绘图
脾脏HE染色
脾脏he染色实验图描述
巨噬细胞he染色
脾he染色结果图片分析
肝脏切片
心脏横切面图片
巨噬细胞he染色镜下
心肌组织切片图解
masson染色
心肌切片手绘图
头发染色颜色大全图片
心脏标本
dapi染色
巨噬细胞he染色手绘图