首页
伤感说说
动漫配图
心情说说
抖音文案
伤感图片
伤感说说:
伤感的句子说说心情
空间说说
心情说说
爱情说说
女生伤感说说
人生感悟
心情不好的说说
说说带图片
关于生活的说说
说说心情短语
qq空间说说带图片
个性说说
励志名言
一句话经典语录
感悟人生的经典句子
短句吧
情感故事
抖音文案
伤感图片:
伤感图片带字
非主流伤感图片
唯美伤感图片
女生伤感图片
唯美意境图片
悲伤的图片
唯美意境伤感图片
只有字的伤感图片
说说图片
伤心的图片
美甲图片
图片大全
情感图片
微信头像男
动态壁纸
动漫配图
伤感图片
首页
>
拍胸片曝光时间
拍胸片曝光时间,
拍胸片能用医保卡报销吗 医保拍胸片
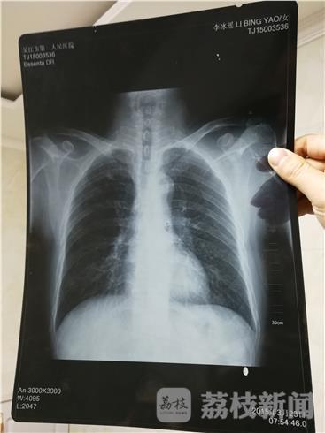
患者,男性,68岁,因咳嗽,咳痰,低热一周,入院治疗,拍胸片正位,如图.
苏州男子胸片被弄错为女性一年后确诊肺癌晚期医院否认漏诊
男人变女人"阴差阳错"的体检胸片-北京时间
通过胸片,医生就可以初步判断咳嗽究竟是大叶性肺炎,支气管肺炎,肺
更多推荐
拍胸片图片 正常
小和尚图片萌萌哒