首页
伤感说说
动漫配图
心情说说
抖音文案
伤感图片
伤感说说:
伤感的句子说说心情
空间说说
心情说说
爱情说说
女生伤感说说
人生感悟
心情不好的说说
说说带图片
关于生活的说说
说说心情短语
qq空间说说带图片
个性说说
励志名言
一句话经典语录
感悟人生的经典句子
短句吧
情感故事
抖音文案
伤感图片:
伤感图片带字
非主流伤感图片
唯美伤感图片
女生伤感图片
唯美意境图片
悲伤的图片
唯美意境伤感图片
只有字的伤感图片
说说图片
伤心的图片
美甲图片
图片大全
情感图片
微信头像男
动态壁纸
动漫配图
伤感图片
首页
>
我想看胸片动
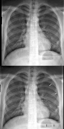
我想看胸片动,正常胸片和异常胸片
正常正侧位胸片(图.pdf 18页
2个月前的胸片
胸片如何看肺炎,这篇文章帮你立刻入门!
由35支终末细支气管组成的肺结构称为
怎样看胸片
更多推荐
正常胸片和异常胸片
我想看看
我想看动画片
胸片胸透
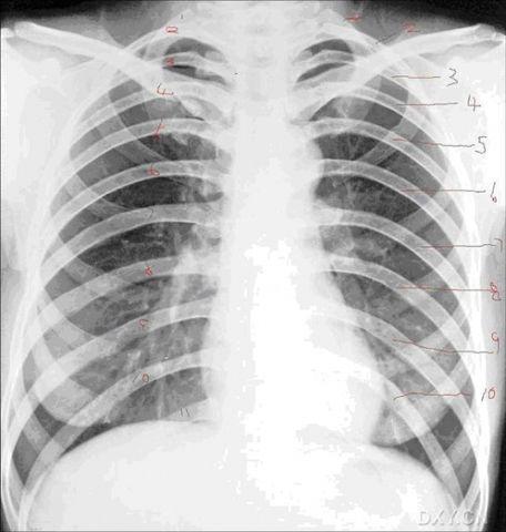
胸片怎么看
胸片图片
胸片正常图片
我想看
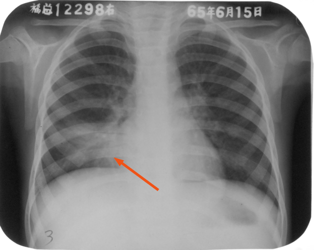
气胸胸片
拍胸片照片
胸片
我想看恐怖片
正常胸片影像图片
我想看猪猪侠
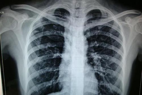
正常胸片
气胸x线胸片图解
拍胸片
胸片女性
正常人胸片
我想看美女
胸片机器
我想看电影
健康胸片
我想看喜羊羊
我想看倒霉熊
胸片报告
我想看公主
我想看奥特曼
我想看电视
胸片结节影