首页
伤感说说
动漫配图
心情说说
抖音文案
伤感图片
伤感说说:
伤感的句子说说心情
空间说说
心情说说
爱情说说
女生伤感说说
人生感悟
心情不好的说说
说说带图片
关于生活的说说
说说心情短语
qq空间说说带图片
个性说说
励志名言
一句话经典语录
感悟人生的经典句子
短句吧
情感故事
抖音文案
伤感图片:
伤感图片带字
非主流伤感图片
唯美伤感图片
女生伤感图片
唯美意境图片
悲伤的图片
唯美意境伤感图片
只有字的伤感图片
说说图片
伤心的图片
美甲图片
图片大全
情感图片
微信头像男
动态壁纸
动漫配图
伤感图片
首页
>
外鼻恶性肿瘤
外鼻恶性肿瘤,恶性肿瘤外观
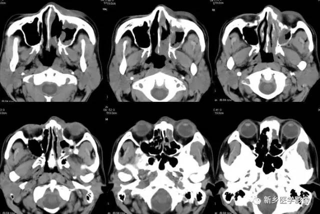
鼻腔及鼻窦恶性肿瘤
外鼻肿物切除局部皮瓣转移修补术
外鼻肿物切除局部皮瓣转移修补术
鼻腔,鼻窦良,恶性肿瘤的ctmr诊断(一) | 影像天地
鼻部肿瘤,您想到了吗?
更多推荐
恶性肿瘤外观
恶性肿瘤
恶性肿瘤早期
乳腺恶性肿瘤
恶性肿瘤真实
恶性肿瘤图片
恶性肿瘤卡通
良性与恶性肿瘤图片
晚期恶性肿瘤图片
恶性肿瘤早期图片
食管恶性肿瘤图片
恶性肿瘤图片症状
恶性肿瘤图片形状
恶性肿瘤溃烂图片
恶性肿瘤图片手术
恶性肿瘤一般能活多久
恶性肿瘤图片病人
恶性肿瘤图片实物
手臂恶性肿瘤图片
恶性肿瘤切开的图片
胃部恶性肿瘤的图片
肺部恶性肿瘤ct图片
人的恶性肿瘤图片大全