首页
伤感说说
动漫配图
心情说说
抖音文案
伤感图片
伤感说说:
伤感的句子说说心情
空间说说
心情说说
爱情说说
女生伤感说说
人生感悟
心情不好的说说
说说带图片
关于生活的说说
说说心情短语
qq空间说说带图片
个性说说
励志名言
一句话经典语录
感悟人生的经典句子
短句吧
情感故事
抖音文案
伤感图片:
伤感图片带字
非主流伤感图片
唯美伤感图片
女生伤感图片
唯美意境图片
悲伤的图片
唯美意境伤感图片
只有字的伤感图片
说说图片
伤心的图片
美甲图片
图片大全
情感图片
微信头像男
动态壁纸
动漫配图
伤感图片
首页
>
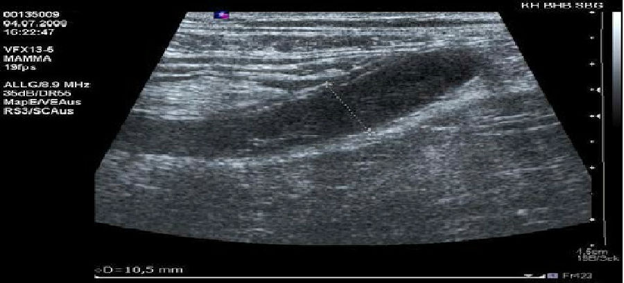
阑尾炎超声声像图超清
阑尾炎超声声像图超清,阑尾炎超声声像图
急性阑尾炎的超声表现,你了解多少? - 阿妮黑 - 闲庭雅叙
续转【贴图】急性阑尾炎的声像图表现 - 超声医学讨论版 - 爱爱医医学
【贴图】阑尾炎声像 - 超声医学讨论版 - 爱爱医医学论坛
超声入门丨超声如何诊断阑尾炎?
超声入门贴191-----正常阑尾声像图 - 超声医学讨论版 - 爱爱医医学
更多推荐
阑尾炎超声声像图
阑尾炎超声声像图表现
阑尾炎超声声像图描述
正常阑尾的超声声像图
阑尾炎超声图片
慢性阑尾炎超声图片
阑尾炎超声报告
儿童阑尾炎超声图片
阑尾炎超声描述模板
阑尾炎的彩超图片
正常阑尾超声图片
阑尾炎b超单高清图
阑尾炎b超图片大全
阑尾炎b超图片真实的
阑尾炎报告单清晰图片
阑尾炎
阑尾炎手术
阑尾炎图片
阑尾炎的位置图片
急性阑尾炎图片
阑尾炎真实
阑尾炎微创手术
阑尾炎位置
阑尾炎在哪个部位
阑尾炎报告
阑尾炎男性
阑尾炎微创手术伤口图
阑尾炎女性
阑尾炎是怎么引起的
阑尾炎的症状