首页
伤感说说
动漫配图
心情说说
抖音文案
伤感图片
伤感说说:
伤感的句子说说心情
空间说说
心情说说
爱情说说
女生伤感说说
人生感悟
心情不好的说说
说说带图片
关于生活的说说
说说心情短语
qq空间说说带图片
个性说说
励志名言
一句话经典语录
感悟人生的经典句子
短句吧
情感故事
抖音文案
伤感图片:
伤感图片带字
非主流伤感图片
唯美伤感图片
女生伤感图片
唯美意境图片
悲伤的图片
唯美意境伤感图片
只有字的伤感图片
说说图片
伤心的图片
美甲图片
图片大全
情感图片
微信头像男
动态壁纸
动漫配图
伤感图片
首页
>
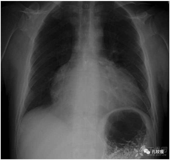
肺野透亮
肺野透亮,肺野
手机文件夹 (2)肺血减少 主要表现为肺纹理变细,稀疏,肺野透亮度增加
肺 野
栓塞近侧肺血管扩张增粗,远端突然消失,远端肺野的透亮度增高,纹理
小儿单侧肺异常透亮综合征
各肺野分布情况图
更多推荐
肺野
肺野分区
肺野的划分
肺野外带
肺野如何划分
肺野分区图
肺野斑片影
肺野的划分图
胸片肺野的划分
白皙透亮
肺野分区示意图
皮肤白皙透亮
肺的三野三带划分图