首页
伤感说说
动漫配图
心情说说
抖音文案
伤感图片
伤感说说:
伤感的句子说说心情
空间说说
心情说说
爱情说说
女生伤感说说
人生感悟
心情不好的说说
说说带图片
关于生活的说说
说说心情短语
qq空间说说带图片
个性说说
励志名言
一句话经典语录
感悟人生的经典句子
短句吧
情感故事
抖音文案
伤感图片:
伤感图片带字
非主流伤感图片
唯美伤感图片
女生伤感图片
唯美意境图片
悲伤的图片
唯美意境伤感图片
只有字的伤感图片
说说图片
伤心的图片
美甲图片
图片大全
情感图片
微信头像男
动态壁纸
动漫配图
伤感图片
首页
>
x光和ct的区别
x光和ct的区别,
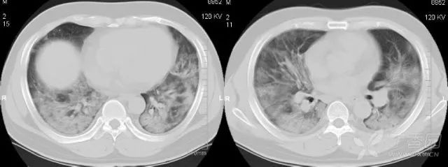
体检发现肺部结节的人越来越多,胸部ct和胸部x线有什么区别?
ct的检查原理是x光会分层穿过人体,之后通过电脑计算后二次成像
骨科检查选x光片,ct,核磁共振?这篇说的最全面
3例患者的胸部x光和胸部ct
一文掌握 6 种胸部 ct 常见征象
更多推荐
轴承尺寸代号
ct 头颅