首页
伤感说说
动漫配图
心情说说
抖音文案
伤感图片
伤感说说:
伤感的句子说说心情
空间说说
心情说说
爱情说说
女生伤感说说
人生感悟
心情不好的说说
说说带图片
关于生活的说说
说说心情短语
qq空间说说带图片
个性说说
励志名言
一句话经典语录
感悟人生的经典句子
短句吧
情感故事
抖音文案
伤感图片:
伤感图片带字
非主流伤感图片
唯美伤感图片
女生伤感图片
唯美意境图片
悲伤的图片
唯美意境伤感图片
只有字的伤感图片
说说图片
伤心的图片
美甲图片
图片大全
情感图片
微信头像男
动态壁纸
动漫配图
伤感图片
首页
>
肺部结节ct图片
肺部结节ct图片,肺部结节ct图片 图解
肺结节是怎么长出来的?医生用ct片详解,有2种可能是肺癌
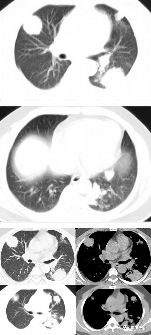
表现为多发结节的肺隐球菌病1例ct影像
肺部孤立性病灶,直径>3cm的叫肿块(团块),直径介于1-3cm的叫结节,而
ct示两肺多发结节(isobe t, et al. intern med. 2019)
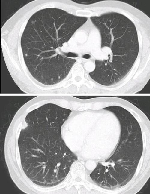
肺磨玻璃结节的ct诊断
更多推荐
肺部结节ct图片 图解
肺部结节是怎么回事
肺结节诊断报告图片
肺结节ct图片怎么看
怎样看懂肺结节ct图片
肺炎的ct图片
良性肺结节图片
正常健康肺的ct图片
肺部结节ct图片图解
肺部ct图片正常图
良性肺结节ct图片
肺部ct图片
健康肺部ct图片
正常肺ct片图片图解
肺部ct图片讲解
肺结核ct图片
恶性良性肺结节图片
良性实性肺结节图片
正常人的肺部ct图片
肺部恶性肿瘤ct图片
肺癌ct图片
良性结节ct图
肺部ct图解
肺部结节
肺部ct解剖图
肺炎ct图片
结节图片
正常肺部ct高清图
乳腺结节图片
肺部ct片