首页
伤感说说
动漫配图
心情说说
抖音文案
伤感图片
伤感说说:
伤感的句子说说心情
空间说说
心情说说
爱情说说
女生伤感说说
人生感悟
心情不好的说说
说说带图片
关于生活的说说
说说心情短语
qq空间说说带图片
个性说说
励志名言
一句话经典语录
感悟人生的经典句子
短句吧
情感故事
抖音文案
伤感图片:
伤感图片带字
非主流伤感图片
唯美伤感图片
女生伤感图片
唯美意境图片
悲伤的图片
唯美意境伤感图片
只有字的伤感图片
说说图片
伤心的图片
美甲图片
图片大全
情感图片
微信头像男
动态壁纸
动漫配图
伤感图片
首页
>
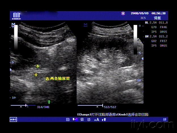
双肾盂畸形
双肾盂畸形,双肾盂
今天去照了四维,医生说双肾盂分离,正常数
【贴图】双肾盂,双输尿管畸形
双肾盂吗
三维查出胎宝宝双肾盂分离
左侧双肾盂,双输尿管畸形.严重吗?怎么治疗?
更多推荐
双肾盂
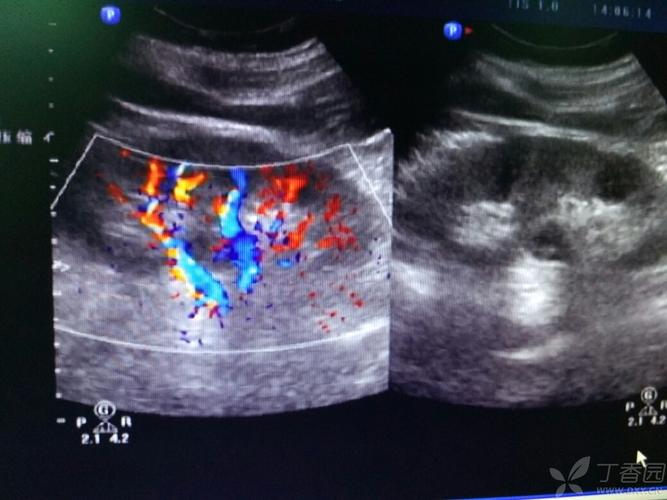
双肾盂分离
肾外肾盂
双肾盂图片
肾盂肾盏
肾外肾盂图片
肾盂肾盏图片
肾盂分离
肾盂积水
肾盂旁囊肿
肾盂分离图解
肾盂结石
畸形
畸形胎儿
小耳畸形
肾盂结构图
肾盂分离图片
肾盂图片
壶腹型肾盂
肾盂分离是什么意思
胎儿先天畸形
小头畸形
全前脑畸形
耳廓畸形
畸形人体
无脑畸形
肾盂的位置图
畸形儿
畸形中央尖
胸廓畸形