首页
伤感说说
动漫配图
心情说说
抖音文案
伤感图片
伤感说说:
伤感的句子说说心情
空间说说
心情说说
爱情说说
女生伤感说说
人生感悟
心情不好的说说
说说带图片
关于生活的说说
说说心情短语
qq空间说说带图片
个性说说
励志名言
一句话经典语录
感悟人生的经典句子
短句吧
情感故事
抖音文案
伤感图片:
伤感图片带字
非主流伤感图片
唯美伤感图片
女生伤感图片
唯美意境图片
悲伤的图片
唯美意境伤感图片
只有字的伤感图片
说说图片
伤心的图片
美甲图片
图片大全
情感图片
微信头像男
动态壁纸
动漫配图
伤感图片
首页
>
胎儿侧脑室超声切面图
胎儿侧脑室超声切面图,胎儿脑部超声切面图解
新手必看中孕期胎儿超声检查颅脑和颜面部分
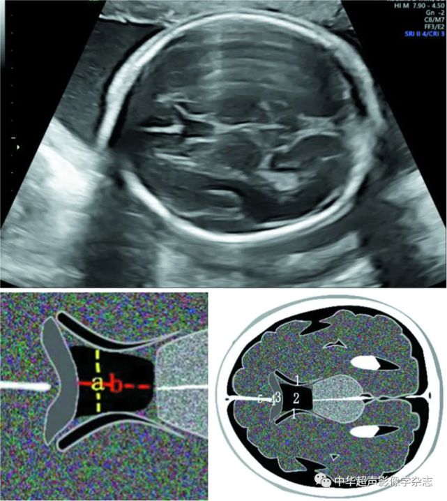
产前超声可在胎儿头颅3个标准切面:经丘脑水平横切面,经侧脑室水平横
图2当出现脑室扩张时,胎儿需要接受详细的超声检查或进一步行头颅磁
图2产前超声声像图及模式图示侧脑室后角扩张呈"泪滴征*示,透明隔
胎儿三维超声筛查标准切面ppt
更多推荐
胎儿脑部超声切面图解
胎儿nt超声标准切面图
胎儿静脉导管超声切面
胎儿丘脑水平切面图解
胎儿头颅超声解剖图谱
丘脑水平横切面超声图
胎儿心脏切面图解
胎儿动脉导管切面图片
胎儿nt测量标准切面图
胎儿双顶径切面图解
胎儿三血管切面图解
胎儿心脏标准8个切面
胎儿心脏三血管切面
胎儿超声左右口诀
胎儿丘脑平面图解
胎儿三血管气管切面
胎儿静脉导管图
胎儿静脉导管解剖
胎儿静脉导管
三血管气管切面示意图
三血管气管切面异常
三血管气管切面