首页
伤感说说
动漫配图
心情说说
抖音文案
伤感图片
伤感说说:
伤感的句子说说心情
空间说说
心情说说
爱情说说
女生伤感说说
人生感悟
心情不好的说说
说说带图片
关于生活的说说
说说心情短语
qq空间说说带图片
个性说说
励志名言
一句话经典语录
感悟人生的经典句子
短句吧
情感故事
抖音文案
伤感图片:
伤感图片带字
非主流伤感图片
唯美伤感图片
女生伤感图片
唯美意境图片
悲伤的图片
唯美意境伤感图片
只有字的伤感图片
说说图片
伤心的图片
美甲图片
图片大全
情感图片
微信头像男
动态壁纸
动漫配图
伤感图片
首页
>
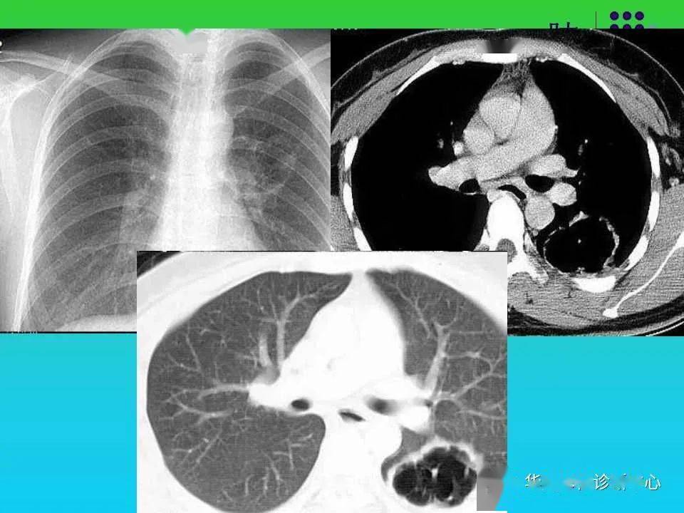
肺空洞ct图片
肺空洞ct图片,空洞型肺结核ct图片
这个"肺空洞"不简单,始作俑者竟是它
欧放精选(011):具有空洞及/或空腔的肺部性病变的ct表现
肺空洞性病变和囊性病变的ct诊断
肺空洞性病变和囊性病变的ct诊断
肺空洞性病变和囊性病变的ct诊断
更多推荐
空洞型肺结核ct图片
肺结核的ct图片
肺结核空洞ct图片
肺空洞
肺炎的CT图片
肺不张ct图片
肺结核ct片图片图解
正常肺ct片图片图解
正常肺ct片图片
肺空洞愈合的ct图片
肺ct图片
肺部ct图片
肺结核ct图片
肺结核的胸片图片
肺结核空洞ct图片解释
空洞型肺结核图片
肺炎ct图片
肺癌ct图片
肺ct片子怎么看图片
肺气肿的ct图片
尘肺ct图片
正常肺对比肺癌ct图片
正常ct肺图片大全
ct图片胸片
健康的肺部ct图片
肺部CT图片
肺癌晚期ct图片
正常人的肺部ct图片
肺结核空洞高清图
肺结核ct图片怎么看