首页
伤感说说
动漫配图
心情说说
抖音文案
伤感图片
伤感说说:
伤感的句子说说心情
空间说说
心情说说
爱情说说
女生伤感说说
人生感悟
心情不好的说说
说说带图片
关于生活的说说
说说心情短语
qq空间说说带图片
个性说说
励志名言
一句话经典语录
感悟人生的经典句子
短句吧
情感故事
抖音文案
伤感图片:
伤感图片带字
非主流伤感图片
唯美伤感图片
女生伤感图片
唯美意境图片
悲伤的图片
唯美意境伤感图片
只有字的伤感图片
说说图片
伤心的图片
美甲图片
图片大全
情感图片
微信头像男
动态壁纸
动漫配图
伤感图片
首页
>
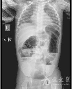
正常腹部平片
正常腹部平片,正常腹部x线平片图
腹部平片显示肠道内积气.腹部增强ct检查发现下腔静脉血栓形成!
详细腹部平片解剖 正常表现 读片技巧 病例分析
急诊卧位及立位腹平片正常气腹小肠梗阻前哨肠曲
腹部平片
腹部立位平片
更多推荐
正常腹部x线平片图
正常腹部
正常腹部平片图片
如何看腹部平片
肠梗阻腹部平片图片
腹部平片
正常腹部立位片影像图
正常腹部立位平片图片
腹部立位平片
正常腹部平片影像表现
肠梗阻腹部平片
腹部平片怎么看图解
肠梗阻腹部平片表现
腹部立位片
腹部图片位置图
腹部
腹部在哪
上腹部
腹部ct
腹部图
腹部九分法
腹部疝
腹部彩超
腹部解剖图
腹部解剖
腹部位置图
壶腹部
腹部按摩
腹部在哪个位置
腹部疼痛位置图