首页
伤感说说
动漫配图
心情说说
抖音文案
伤感图片
伤感说说:
伤感的句子说说心情
空间说说
心情说说
爱情说说
女生伤感说说
人生感悟
心情不好的说说
说说带图片
关于生活的说说
说说心情短语
qq空间说说带图片
个性说说
励志名言
一句话经典语录
感悟人生的经典句子
短句吧
情感故事
抖音文案
伤感图片:
伤感图片带字
非主流伤感图片
唯美伤感图片
女生伤感图片
唯美意境图片
悲伤的图片
唯美意境伤感图片
只有字的伤感图片
说说图片
伤心的图片
美甲图片
图片大全
情感图片
微信头像男
动态壁纸
动漫配图
伤感图片
首页
>
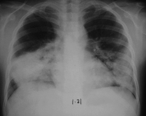
肺炎检查报告
肺炎检查报告,
云南省报告新型冠状病毒肺炎新增病例1例
图4新型冠状病毒肺炎病例四类病例发病曲线以及确诊病例报告日期与
2月11日0—24时,福建省报告新增新型冠状病毒肺炎确诊病例5例.其中
p>白肺一般是指的 a target"_blank href/item/重症肺炎/3015223
沈阳:全体教职员工进行新冠肺炎血清和核酸筛查!
更多推荐
刀剑乱舞短刀极化立绘
非正式会谈成员现状