首页
伤感说说
动漫配图
心情说说
抖音文案
伤感图片
伤感说说:
伤感的句子说说心情
空间说说
心情说说
爱情说说
女生伤感说说
人生感悟
心情不好的说说
说说带图片
关于生活的说说
说说心情短语
qq空间说说带图片
个性说说
励志名言
一句话经典语录
感悟人生的经典句子
短句吧
情感故事
抖音文案
伤感图片:
伤感图片带字
非主流伤感图片
唯美伤感图片
女生伤感图片
唯美意境图片
悲伤的图片
唯美意境伤感图片
只有字的伤感图片
说说图片
伤心的图片
美甲图片
图片大全
情感图片
微信头像男
动态壁纸
动漫配图
伤感图片
首页
>
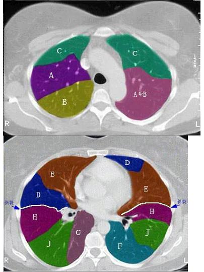
右肺下叶基底段位置图
右肺下叶基底段位置图,右肺下叶前基底段
状结节(微浸润性结节)右肺下叶外基底段树枝状结节(微浸润性腺癌)7
s7:内基底段,s8:前基底段,s9:外基底段,s10:后基底段】 左肺 上叶
结合肺段模式图,选出右肺下叶的组成()
右肺下叶背段占位
结合肺段模式图,右肺下叶的组成是()
更多推荐
右肺下叶前基底段
右肺下叶后基底段图片
左肺下叶基底段位置图
左肺下叶基底段图解
肺段划分
左肺上叶舌段位置图片
左肺下叶
左肺上叶尖后段位置图
右肺叶
肺部下叶外基底段图解
右肺下叶前基底段图解
右肺下叶背段位置图
肺的分叶和分段详细图
右肺下叶内基底段图示
左肺下叶位置图片
左下肺基底段图
右肺上叶前段位置图
右肺上叶尖后段位置图
左肺下叶背段位置图
右肺上叶位置图
左肺上叶舌段的位置图
三尖瓣前叶后叶位置图
左肺下叶背段解剖图
左肺舌叶位置示意图
二尖瓣前叶后叶位置图
左肺下叶背段
肝区疼痛位置图图片
肝的位置图
五脏六腑图片位置图
肝的位置图男性