首页
伤感说说
动漫配图
心情说说
抖音文案
伤感图片
伤感说说:
伤感的句子说说心情
空间说说
心情说说
爱情说说
女生伤感说说
人生感悟
心情不好的说说
说说带图片
关于生活的说说
说说心情短语
qq空间说说带图片
个性说说
励志名言
一句话经典语录
感悟人生的经典句子
短句吧
情感故事
抖音文案
伤感图片:
伤感图片带字
非主流伤感图片
唯美伤感图片
女生伤感图片
唯美意境图片
悲伤的图片
唯美意境伤感图片
只有字的伤感图片
说说图片
伤心的图片
美甲图片
图片大全
情感图片
微信头像男
动态壁纸
动漫配图
伤感图片
首页
>
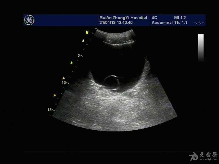
肾盂旁囊肿超声
肾盂旁囊肿超声,肾盂旁囊肿
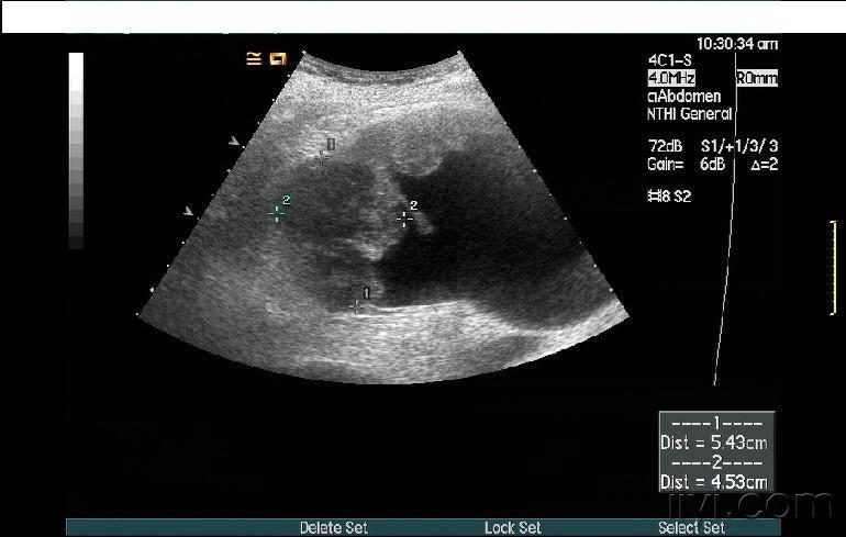
右侧肾盂肾盏ca - 超声医学讨论版 - 爱爱医医学论坛
超声提示()
左肾囊肿 - 超声医学讨论版 - 爱爱医医学论坛
我县第一例"后腹膜镜下肾盂旁囊肿去顶减压术"在我院泌尿外科成功完成
输尿管下端囊肿伴双肾盂可能?大家看下. - 超声医学版
更多推荐
肾盂旁囊肿
肾盂囊肿
肾外肾盂
尿道旁腺囊肿
肾盂肾盏
双肾盂畸形
肾外肾盂图片
女性尿道旁腺囊肿
肾盂积水
肾盂肾盏图片
双肾盂
超声
尿道旁腺囊肿图片
肾盂分离
双肾盂分离
子宫囊肿
壶腹型肾盂
超声检查
囊肿
肾盂解剖
肾盂结石
肛周囊肿
超声内镜
肾盂分离图解
女性尿道旁腺囊肿症状
宫颈腺囊肿
肾盂分离是什么意思
健輎囊肿
女性尿道旁腺囊肿外观
肾盂结构图