首页
伤感说说
动漫配图
心情说说
抖音文案
伤感图片
伤感说说:
伤感的句子说说心情
空间说说
心情说说
爱情说说
女生伤感说说
人生感悟
心情不好的说说
说说带图片
关于生活的说说
说说心情短语
qq空间说说带图片
个性说说
励志名言
一句话经典语录
感悟人生的经典句子
短句吧
情感故事
抖音文案
伤感图片:
伤感图片带字
非主流伤感图片
唯美伤感图片
女生伤感图片
唯美意境图片
悲伤的图片
唯美意境伤感图片
只有字的伤感图片
说说图片
伤心的图片
美甲图片
图片大全
情感图片
微信头像男
动态壁纸
动漫配图
伤感图片
首页
>
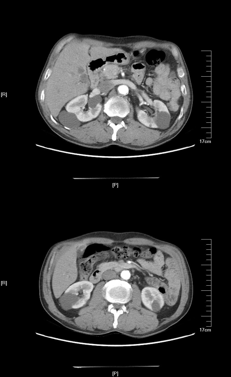
肾盂旁囊肿
肾盂旁囊肿,肾盂囊肿
肾盂旁囊肿的介绍
囊肿位于肾实质内,与肾盂邻近,确诊肾盂旁囊肿
肾盂旁囊肿ppt课件.ppt 28页
这种盂旁囊肿,大部分都位于肾盂里.肾盂又是什么东西?
2020年08月手术患者:双肾多发囊肿,右肾存在肾窦内动脉旁的肾盂旁囊肿
更多推荐
肾盂囊肿
肾盂旁囊肿超声
肾外肾盂
肾盂肾盏
肾外肾盂图片
肾盂肾盏图片
尿道旁腺囊肿
肾盂积水
双肾盂畸形
肾盂分离
双肾盂
双肾盂分离
壶腹型肾盂
肾盂结石
囊肿
肾盂解剖
女性尿道旁腺囊肿
肛周囊肿
肾盂结构图
子宫囊肿
健輎囊肿
尿道旁腺囊肿图片
肾盂分离图解
宫颈腺囊肿
表皮囊肿
涎腺囊肿
附睾囊肿
双肾盂图片
鳃裂囊肿
肾盂图片