首页
伤感说说
动漫配图
心情说说
抖音文案
伤感图片
伤感说说:
伤感的句子说说心情
空间说说
心情说说
爱情说说
女生伤感说说
人生感悟
心情不好的说说
说说带图片
关于生活的说说
说说心情短语
qq空间说说带图片
个性说说
励志名言
一句话经典语录
感悟人生的经典句子
短句吧
情感故事
抖音文案
伤感图片:
伤感图片带字
非主流伤感图片
唯美伤感图片
女生伤感图片
唯美意境图片
悲伤的图片
唯美意境伤感图片
只有字的伤感图片
说说图片
伤心的图片
美甲图片
图片大全
情感图片
微信头像男
动态壁纸
动漫配图
伤感图片
首页
>
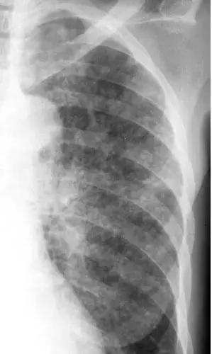
胸腔积液胸片表现图片
胸腔积液胸片表现图片,胸腔积液胸片典型图片
左边的图是典型的胸腔积液,右边的图就不典型了,这个时候就要多一个
详解"胸腔积液"(形成机理及各类影像表现)
肺炎旁胸腔积液的诊断和管理│临床必备
胸腔积液多为单侧性的,合并症(如形成脓胸,形成瘘管,侵蚀肋骨)不多见.
左侧胸腔积液患者病情
更多推荐
胸腔积液胸片典型图片
胸腔积液胸片影像图片
胸腔积液胸片图解
胸腔积液ct表现图片
胸腔积液x线胸片图解
胸腔积液ct图片
胸腔积液胸片典型
胸腔积液胸片
胸腔积液图片
胸腔积液x线胸片
胸腔积液超声图片
胸腔积液图片对照
胸腔积液的x线表现
气胸胸片典型图片
胸腔积液ct图片讲解
包裹性胸腔积液图片
胸腔积液ct图片怎么看
胸腔积液超声图片讲解
胸腔积液抽水图片颜色
正常胸片和肺炎胸片图
胸腔积液颜色分类图片
胸腔积液b超报告图片
胸腔积液x线
肺气肿胸片典型图片
气胸x线胸片图解
胸腔积液
胸腔积液超声
胸腔积液抽水过程图
胸腔积液颜色
肺不张胸片典型图片