首页
伤感说说
动漫配图
心情说说
抖音文案
伤感图片
伤感说说:
伤感的句子说说心情
空间说说
心情说说
爱情说说
女生伤感说说
人生感悟
心情不好的说说
说说带图片
关于生活的说说
说说心情短语
qq空间说说带图片
个性说说
励志名言
一句话经典语录
感悟人生的经典句子
短句吧
情感故事
抖音文案
伤感图片:
伤感图片带字
非主流伤感图片
唯美伤感图片
女生伤感图片
唯美意境图片
悲伤的图片
唯美意境伤感图片
只有字的伤感图片
说说图片
伤心的图片
美甲图片
图片大全
情感图片
微信头像男
动态壁纸
动漫配图
伤感图片
首页
>
右肺上叶图片
右肺上叶图片,右肺上叶结节图片
单孔胸腔镜右肺上叶 s2b s3a联合亚段切除术
难者不会会者不难之「庖丁解肺」丨一页手册·协和八
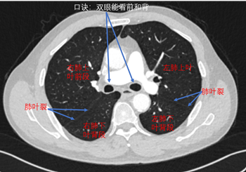
看见左右主支气管(双眼)层面:右肺上叶前段和右肺下叶背段,左肺上叶和
右上叶支气管的前面的分支,就是右肺上叶前段支气管;后面的分支,就是
王留锁,男,55岁,间断咳嗽咳痰5年,右肺上叶团块及条片
更多推荐
右肺上叶结节图片
右肺上叶
右肺上叶位置图
右肺上叶切除
左肺上叶位置图
肺上叶
右肺上叶位置示意图
左肺上叶图片
早上好图片最新图片
花的图片
图片
风景图片
图片就这样
图片上班
图片传说
心情图片
图片文化
图片中国
图片书法
图片壁纸
图片头像
图片大吉
图片味道
肖战图片
图片地球
图片绘本
母亲节图片
母亲节快乐图片
头像图片2021最火爆