首页
伤感说说
动漫配图
心情说说
抖音文案
伤感图片
伤感说说:
伤感的句子说说心情
空间说说
心情说说
爱情说说
女生伤感说说
人生感悟
心情不好的说说
说说带图片
关于生活的说说
说说心情短语
qq空间说说带图片
个性说说
励志名言
一句话经典语录
感悟人生的经典句子
短句吧
情感故事
抖音文案
伤感图片:
伤感图片带字
非主流伤感图片
唯美伤感图片
女生伤感图片
唯美意境图片
悲伤的图片
唯美意境伤感图片
只有字的伤感图片
说说图片
伤心的图片
美甲图片
图片大全
情感图片
微信头像男
动态壁纸
动漫配图
伤感图片
首页
>
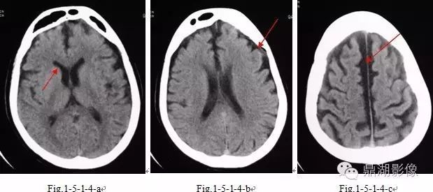
脑萎缩图片怎么看
脑萎缩图片怎么看,脑萎缩图片
帕金森和脑萎缩有关系吗
脑萎缩与硬膜下积液的鉴别
脑萎缩ct图片 (第1页)
原创蓝十字脑科三十岁男子小脑萎缩难自理侯增欣手术治疗为其重返人生
右额顶部软化灶形成局限性脑萎缩
更多推荐
脑萎缩图片
正常大脑和脑萎缩图片
脑萎缩图片对比
脑萎缩ct片子图片
脑萎缩ct图片
脑萎缩怎么治疗
脑萎缩ct图片解说
脑萎缩什么症状
小脑萎缩有什么症状
脑萎缩
轻度脑萎缩
脑萎缩正常
脑萎缩患者
小脑萎缩
脑梗塞ct图片解说图
脑萎缩吃什么药最好
脑萎缩会导致什么后果
脑萎缩ct表现
脑萎缩最佳治疗方法
酒精性脑萎缩
脑萎缩ct
脑萎缩核磁
核磁共振图片怎么看
大脑萎缩
图片分辨率怎么看
3d图片怎么看
测孕纸怎么看图片
骨龄图片怎么看
验孕棒怎么看图片
怎么看镜像图片