首页
伤感说说
动漫配图
心情说说
抖音文案
伤感图片
伤感说说:
伤感的句子说说心情
空间说说
心情说说
爱情说说
女生伤感说说
人生感悟
心情不好的说说
说说带图片
关于生活的说说
说说心情短语
qq空间说说带图片
个性说说
励志名言
一句话经典语录
感悟人生的经典句子
短句吧
情感故事
抖音文案
伤感图片:
伤感图片带字
非主流伤感图片
唯美伤感图片
女生伤感图片
唯美意境图片
悲伤的图片
唯美意境伤感图片
只有字的伤感图片
说说图片
伤心的图片
美甲图片
图片大全
情感图片
微信头像男
动态壁纸
动漫配图
伤感图片
首页
>
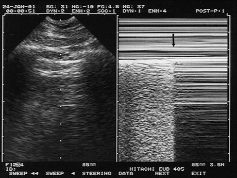
sam征阳性M型超声图片
sam征阳性M型超声图片,sam征阳性超声图片
图15:肺部m型超声下"肺点"征象,提示气胸诊断(图片摘自annals of
第2节 粘液瘤 | 超声掌中宝
心脏超声诊断的学习分享
超声经典征象
超声医学讨论版 - 爱爱医医学
更多推荐
sam征阳性超声图片
肥厚型心肌病sam征图片
sam征阳性
肥厚型心肌病超声图片
sam征超声心动图
sam征阳性M型超声图片
sam征超声示意图
sam现象超声图片
sam征超声表现
假阳性和真阳性的图片
M型超声
二尖瓣sam征M型示意图
超声检查
超声
二尖瓣sam征示意图
超声内镜
超声仪器
超声诊断
阳性
超声图像
超声仪
超声心动图
超声心电图
二尖瓣sam征图
hpv阳性是什么意思
超声机
sam征
超声科
超声探头
超声探头分类