首页
伤感说说
动漫配图
心情说说
抖音文案
伤感图片
伤感说说:
伤感的句子说说心情
空间说说
心情说说
爱情说说
女生伤感说说
人生感悟
心情不好的说说
说说带图片
关于生活的说说
说说心情短语
qq空间说说带图片
个性说说
励志名言
一句话经典语录
感悟人生的经典句子
短句吧
情感故事
抖音文案
伤感图片:
伤感图片带字
非主流伤感图片
唯美伤感图片
女生伤感图片
唯美意境图片
悲伤的图片
唯美意境伤感图片
只有字的伤感图片
说说图片
伤心的图片
美甲图片
图片大全
情感图片
微信头像男
动态壁纸
动漫配图
伤感图片
首页
>
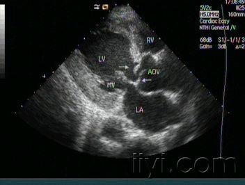
主动脉瓣左冠瓣超声图
主动脉瓣左冠瓣超声图,主动脉三个冠瓣超声图
左冠状动脉主干动脉瘤超声示意图-刘海艳
能向肺动脉内射血的血管应来自左心,这应该是冠状动脉的一个营养肺
经食管超声心动图诊断主动脉瓣穿孔1例
【讨论】主动脉瓣声像图 - 超声医学讨论版 - 爱爱医
图1 术前心脏彩超明确诊断患儿左冠状动脉起源异常
更多推荐
主动脉三个冠瓣超声图
主动脉瓣超声
主动脉瓣无冠瓣
主动脉瓣三瓣叶解剖图
主动脉瓣解剖图
主动脉瓣
主动脉瓣狭窄
主动脉
主动脉结
主动脉解剖图
主动脉窦解剖图
主动脉弓解剖图
腹主动脉分支解剖图
主动脉弓分三型图解
腹主动脉
升主动脉
主动脉位置图
主动脉分支
腹主动脉分支
腹主动脉位置图
主动脉窦
主动脉瘤
主动脉弓
胸主动脉
主动脉弓的三大分支图
主动脉弓的三大分支
主动脉骑跨
腹主动脉瘤