首页
伤感说说
动漫配图
心情说说
抖音文案
伤感图片
伤感说说:
伤感的句子说说心情
空间说说
心情说说
爱情说说
女生伤感说说
人生感悟
心情不好的说说
说说带图片
关于生活的说说
说说心情短语
qq空间说说带图片
个性说说
励志名言
一句话经典语录
感悟人生的经典句子
短句吧
情感故事
抖音文案
伤感图片:
伤感图片带字
非主流伤感图片
唯美伤感图片
女生伤感图片
唯美意境图片
悲伤的图片
唯美意境伤感图片
只有字的伤感图片
说说图片
伤心的图片
美甲图片
图片大全
情感图片
微信头像男
动态壁纸
动漫配图
伤感图片
首页
>
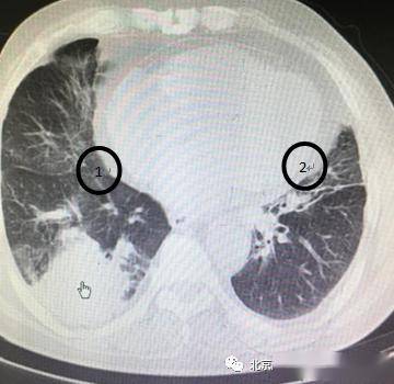
肺部有阴影是什么原因
肺部有阴影是什么原因,肺部有阴影CT
又一个病例讨论-咳嗽,黄痰,肺部阴影
肺部阴影引猜测,谁是谁非谁惹祸?
检查出肺部阴影,肺结节,生活上应该注意什么?
又一个病例讨论-咳嗽,黄痰,肺部阴影
检查出肺部阴影肺结节一定是肺癌吗
更多推荐
肺部有阴影CT
肺部有阴影
肺部阴影诊断
肺部阴影有几种可能
肺部阴影
肺部阴影片子
新冠肺部阴影
肺部阴影图片
肺部阴影图片胸片
肺部阴影x光片
肺部正常胸片影像图片
正常肺部胸片
肺部结构
肺部ct
正常肺部ct图
正常人肺部ct报告
肺部恶性肿瘤ct图片
正常肺部ct片
正常肺部ct高清图
正常肺部x光片
肺部x光片
正常人的肺部ct图片
正常的肺部x光片图
痔疮是什么
胸是什么
正常的BB是什么样的
白带是什么
扁平疣是什么样子图片
这是什么
孕囊是什么样子