首页
伤感说说
动漫配图
心情说说
抖音文案
伤感图片
伤感说说:
伤感的句子说说心情
空间说说
心情说说
爱情说说
女生伤感说说
人生感悟
心情不好的说说
说说带图片
关于生活的说说
说说心情短语
qq空间说说带图片
个性说说
励志名言
一句话经典语录
感悟人生的经典句子
短句吧
情感故事
抖音文案
伤感图片:
伤感图片带字
非主流伤感图片
唯美伤感图片
女生伤感图片
唯美意境图片
悲伤的图片
唯美意境伤感图片
只有字的伤感图片
说说图片
伤心的图片
美甲图片
图片大全
情感图片
微信头像男
动态壁纸
动漫配图
伤感图片
首页
>
肩胛骨骨化中心
肩胛骨骨化中心,腕骨骨化中心
9-12岁椎体上下缘的软骨出现二次骨化中心
骨化中心
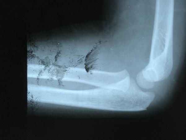
求高手看片并指导:是骨折片还是骨化中心?这两针打的道理何在?
是青少年阶段髌骨发育异常出现1个或多个副骨化中心,最常见于髌骨外侧
典型的长骨一般骨化中心是在骨干和两个骨骺(hóu)这3个地方.
更多推荐
腕骨骨化中心
骨化中心
肩胛骨骨折
肩胛骨
肩胛骨在哪
肩胛骨突出
骨化中心图片
儿童骨化中心
肩胛骨肌肉
肩胛骨部位
肩胛骨解剖
肩胛骨后背疼
肩胛骨图片
肩胛骨解剖图
肩胛骨位置图片
正常人的肩胛骨图
肘关节骨化
肩胛骨突出怎么矫正
肩胛骨位置示意图
肩胛骨缝疼痛图片
骨化
肩胛骨突出驼背图片
肩胛骨在哪个位置图片
肩胛骨的准确位置图
女性肩胛骨位置图片
儿童肩胛骨突出图片
正常儿童腕骨骨化表
癌症早期会肩胛骨疼
异位骨化
骨化醇