首页
伤感说说
动漫配图
心情说说
抖音文案
伤感图片
伤感说说:
伤感的句子说说心情
空间说说
心情说说
爱情说说
女生伤感说说
人生感悟
心情不好的说说
说说带图片
关于生活的说说
说说心情短语
qq空间说说带图片
个性说说
励志名言
一句话经典语录
感悟人生的经典句子
短句吧
情感故事
抖音文案
伤感图片:
伤感图片带字
非主流伤感图片
唯美伤感图片
女生伤感图片
唯美意境图片
悲伤的图片
唯美意境伤感图片
只有字的伤感图片
说说图片
伤心的图片
美甲图片
图片大全
情感图片
微信头像男
动态壁纸
动漫配图
伤感图片
首页
>
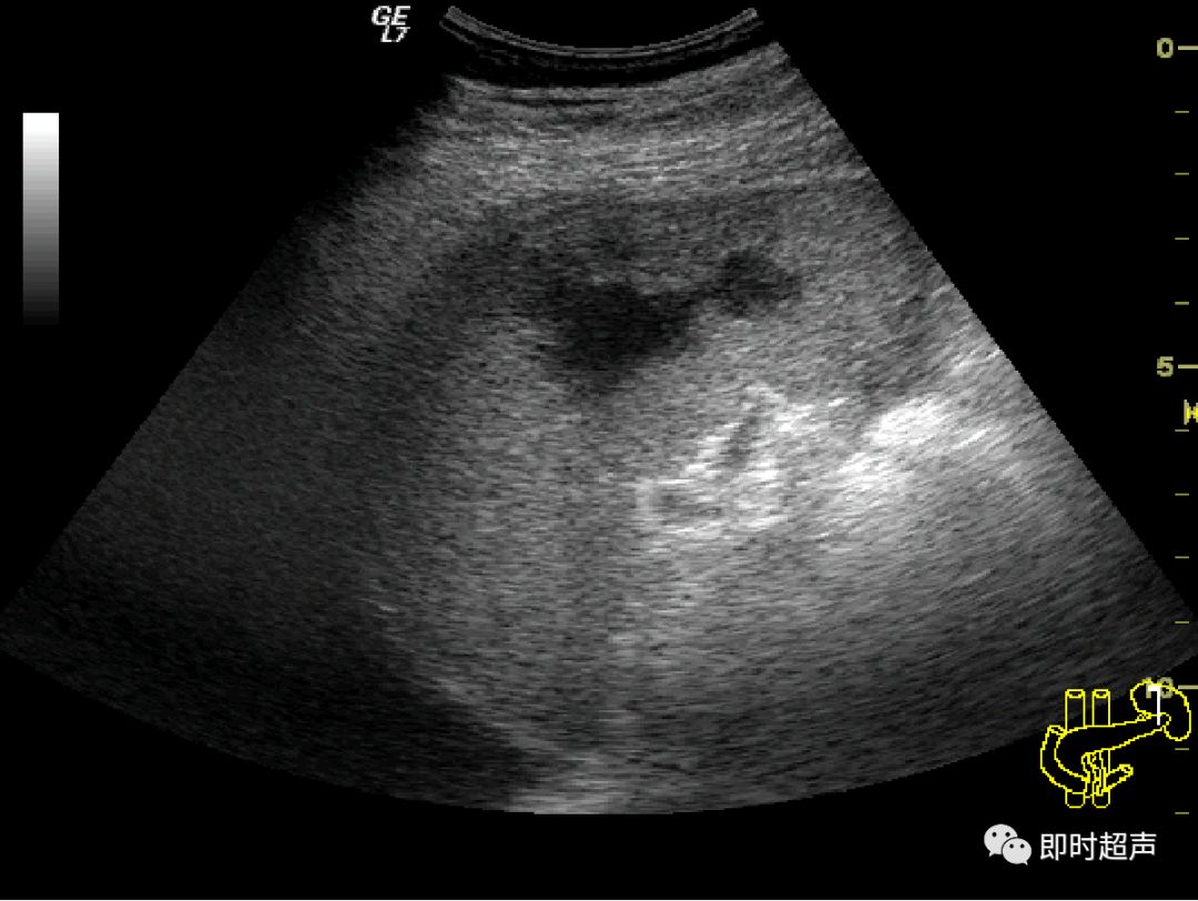
内脏反转超声报告
内脏反转超声报告,内脏反位超声报告模板
临床医生必读之超声报告单解读
内脏损伤的超声诊断
内脏损伤的超声诊断
体检超声报告解读
肝脏正常超声实验报告
更多推荐
内脏反位超声报告模板
超声报告模板报告单
心脏超声报告模板
肝脏超声报告
腹部超声报告
超声报告
内脏反位超声描述模板
腹部超声报告模板
超声诊断报告
超声报告模板
心脏彩超报告单
妇科超声报告模板
副脾超声报告模板
乳腺超声报告
乳腺超声报告模板
超声检查报告单怎么看
超声
超声内镜
腹壁疝彩超报告图片
彩超检查报告单
超声仪器
超声诊断
超声仪
超声检查
肠梗阻超声图报告描述
超声机
超声心动
超声图像
超声科
超声心电图