首页
伤感说说
动漫配图
心情说说
抖音文案
伤感图片
伤感说说:
伤感的句子说说心情
空间说说
心情说说
爱情说说
女生伤感说说
人生感悟
心情不好的说说
说说带图片
关于生活的说说
说说心情短语
qq空间说说带图片
个性说说
励志名言
一句话经典语录
感悟人生的经典句子
短句吧
情感故事
抖音文案
伤感图片:
伤感图片带字
非主流伤感图片
唯美伤感图片
女生伤感图片
唯美意境图片
悲伤的图片
唯美意境伤感图片
只有字的伤感图片
说说图片
伤心的图片
美甲图片
图片大全
情感图片
微信头像男
动态壁纸
动漫配图
伤感图片
首页
>
支气管肺炎ct影像表现
支气管肺炎ct影像表现,支气管肺炎x线表现
成人肺部感染类型并发症并发症支气管病原体影像学肺部感染肺炎x线
勇哥肺炎研习社|诊断篇:肺炎支原体肺炎的影像学诊断
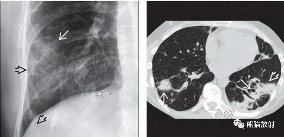
有时,机化性肺炎的影像表现与原发性支气管肺癌很难鉴别.
右上肺 局限性肿块样实变,边缘见支气管充气征,与肺癌表现相似.
肺部常见疾病的影像诊断_支气管
更多推荐
支气管肺炎x线表现
支气管肺炎胸片表现图
支气管肺炎和肺炎区别
支气管肺炎影像图片
肺结核ct影像表现特点
支气管肺炎ct图片
肺癌ct影像表现特点
支气管肺炎胸片特点
支气管肺炎CT
支气管肺炎胸片
小儿支气管肺炎胸片
支气管肺炎胸片图解
支气管肺炎的症状
肺气肿ct表现
支气管肺炎严重吗
普通肺炎ct表现图片
支气管肺炎
间质性肺炎ct表现
支气管肺炎传染吗
小儿支气管肺炎
支气管肺炎切片
支气管肺炎ppt
小儿支气管肺炎片子图
支气管肺炎片子图片
肝硬化ct影像表现图片
结核ct影像表现图片
肺结核ct表现
支气管肺炎发作图片
支气管肺炎图片
小儿支气管肺炎图片