首页
伤感说说
动漫配图
心情说说
抖音文案
伤感图片
伤感说说:
伤感的句子说说心情
空间说说
心情说说
爱情说说
女生伤感说说
人生感悟
心情不好的说说
说说带图片
关于生活的说说
说说心情短语
qq空间说说带图片
个性说说
励志名言
一句话经典语录
感悟人生的经典句子
短句吧
情感故事
抖音文案
伤感图片:
伤感图片带字
非主流伤感图片
唯美伤感图片
女生伤感图片
唯美意境图片
悲伤的图片
唯美意境伤感图片
只有字的伤感图片
说说图片
伤心的图片
美甲图片
图片大全
情感图片
微信头像男
动态壁纸
动漫配图
伤感图片
首页
>
二维超声心动图
二维超声心动图,M型超声
它是在二维超声心动图定位情况下,利用多普勒原理,采用一系列电子技术
2经胸二维超声心动图
附图 超声心动图
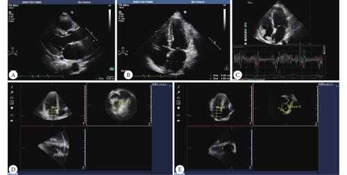
点击查看大图 图1 二维simpson法(图1a)与三维超声心动图测量的左
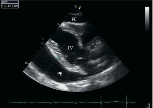
二维超声心动图:胸骨旁长轴切面显示大量环绕心包积液,舒张期为
更多推荐
M型超声
彩色多普勒超声心动图
M型超声心动图
超声心动图多少钱
心脏超声基本切面图解
二维超声心动图组套
多普勒超声心动图
普通二维超声心动图
心脏超声切面图解
超声心动图与心脏彩超
超声心动图图片
心脏超声心动图
超声心动图
超声心动图解读
m型超声心动图
超声心动图切面
胎儿超声心动图
成人超声心动图
超声心动图机
儿童超声心动图
经胸超声心动图
超声心动图怎么做
超声心动图报告单
超声心动图正常值
超声心动图标准切面
超声心动图检查报告
超声心动图正常参考值
超声心动图正常值范围
小儿超声心动图正常值
二维彩超