首页
伤感说说
动漫配图
心情说说
抖音文案
伤感图片
伤感说说:
伤感的句子说说心情
空间说说
心情说说
爱情说说
女生伤感说说
人生感悟
心情不好的说说
说说带图片
关于生活的说说
说说心情短语
qq空间说说带图片
个性说说
励志名言
一句话经典语录
感悟人生的经典句子
短句吧
情感故事
抖音文案
伤感图片:
伤感图片带字
非主流伤感图片
唯美伤感图片
女生伤感图片
唯美意境图片
悲伤的图片
唯美意境伤感图片
只有字的伤感图片
说说图片
伤心的图片
美甲图片
图片大全
情感图片
微信头像男
动态壁纸
动漫配图
伤感图片
首页
>
脑萎缩核磁共振图片
脑萎缩核磁共振图片,脑萎缩ct图片
拍片子发现脑萎缩,严重吗?是不是快要痴呆了?
头颅核磁共振模式识别为此提供了一个很好的手段.
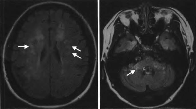
脑桥十字征一定和多系统萎缩有关吗?
脑萎缩
小脑萎缩
更多推荐
脑萎缩ct图片
脑萎缩ct片子图片
脑萎缩ct图片解说图
核磁共振脑部正常图片
核磁共振图片
脑萎缩ct图片讲解
正常大脑和脑萎缩图片
脑萎缩核磁
脑萎缩ct图片解说
脑萎缩图片
脑萎缩图片对比
核磁共振图解
核磁共振片子
人类合体核磁共振图
脑萎缩ct
核磁共振内部
脑萎缩ct表现
核磁共振头颅
核磁共振
核磁共振结果
核磁共振检查
核磁共振韧带断裂图
核磁共振吓人
核磁共振多少钱
腰椎核磁共振
核磁共振室
核磁共振机器
核磁共振原理
核磁共振为什么很可怕
颈椎核磁共振