首页
伤感说说
动漫配图
心情说说
抖音文案
伤感图片
伤感说说:
伤感的句子说说心情
空间说说
心情说说
爱情说说
女生伤感说说
人生感悟
心情不好的说说
说说带图片
关于生活的说说
说说心情短语
qq空间说说带图片
个性说说
励志名言
一句话经典语录
感悟人生的经典句子
短句吧
情感故事
抖音文案
伤感图片:
伤感图片带字
非主流伤感图片
唯美伤感图片
女生伤感图片
唯美意境图片
悲伤的图片
唯美意境伤感图片
只有字的伤感图片
说说图片
伤心的图片
美甲图片
图片大全
情感图片
微信头像男
动态壁纸
动漫配图
伤感图片
首页
>
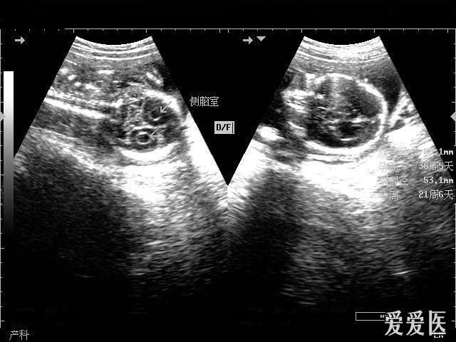
胎儿侧脑室超声图片
胎儿侧脑室超声图片,胎儿侧脑室测量图片
孕妇,孕33周,无明显不适,来我院检查,检查过程中发现胎儿侧脑室宽16
胎儿侧脑室增宽的超声诊断,评估和管理
这例图片的胎儿颅内结构是正常的,箭头所指的是胎儿侧脑室,准确的
发现胎儿脑室扩张时咋办?
检查胎儿一侧脑室后角宽约7.5mm有问题吗
更多推荐
胎儿侧脑室测量图片
侧脑室在哪个位置图片
侧脑室超声图像
胎儿侧脑室超声切面图
正常胎儿颅内结构图
胎儿侧脑室正常值
侧脑室与第三脑室图解
侧脑室第三脑室
侧脑室ct图片
双侧侧脑室
侧脑室图片
侧脑室三角区图片
侧脑室ct
侧脑室
侧脑室在哪
侧脑室断层解剖图
侧脑室解剖图
四个脑室位置图片
侧脑室后角
侧脑室的解剖结构图
侧脑室三角区示意图
侧脑室磁共振
脑室图片
侧脑室正常值对照表
侧脑室解剖
侧脑室解剖位置示意图
侧脑室增宽
侧脑室宽度正常值
侧脑室三角区解剖图
四个脑室分布图