首页
伤感说说
动漫配图
心情说说
抖音文案
伤感图片
伤感说说:
伤感的句子说说心情
空间说说
心情说说
爱情说说
女生伤感说说
人生感悟
心情不好的说说
说说带图片
关于生活的说说
说说心情短语
qq空间说说带图片
个性说说
励志名言
一句话经典语录
感悟人生的经典句子
短句吧
情感故事
抖音文案
伤感图片:
伤感图片带字
非主流伤感图片
唯美伤感图片
女生伤感图片
唯美意境图片
悲伤的图片
唯美意境伤感图片
只有字的伤感图片
说说图片
伤心的图片
美甲图片
图片大全
情感图片
微信头像男
动态壁纸
动漫配图
伤感图片
首页
>
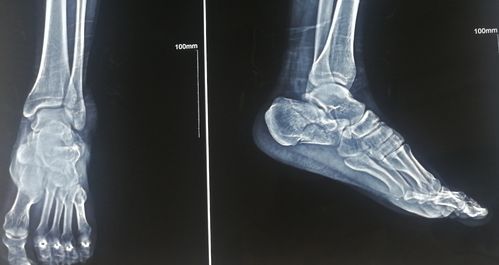
正常跟骨片子图片
正常跟骨片子图片,骨折片子图
29岁跟骨骨折闭合撬拨复位内固定手术一例
跟骨骨折大l切口内固定
多图详解5种常见跟骨骨折分型
求助:大神看片子_骨折康复_医疗健康_医疗健康其他
骨哥阅片课堂:10分钟掌握踝关节 mri
更多推荐
骨折片子图
片子正常
ct片子图片
正常心电图图片
骨折片子
正常粉瘤图片
正常营业图片
正常肛门图片
正常红痣的图片
早上好图片最新图片
正常舌苔图片
皮试不正常的图片
正常包茎是什么样图片
正常扁桃体图片
片子
肺癌片子图
小片子
正常尿液的图片
颈椎片子
拍片子
正常白带图片少女
正常舌苔图片女性
核磁共振片子图解
正常白带图片是什么样
沾片子
图片
正常心电图
揪片子
ct片子
输卵管造影正常片子