首页
伤感说说
动漫配图
心情说说
抖音文案
伤感图片
伤感说说:
伤感的句子说说心情
空间说说
心情说说
爱情说说
女生伤感说说
人生感悟
心情不好的说说
说说带图片
关于生活的说说
说说心情短语
qq空间说说带图片
个性说说
励志名言
一句话经典语录
感悟人生的经典句子
短句吧
情感故事
抖音文案
伤感图片:
伤感图片带字
非主流伤感图片
唯美伤感图片
女生伤感图片
唯美意境图片
悲伤的图片
唯美意境伤感图片
只有字的伤感图片
说说图片
伤心的图片
美甲图片
图片大全
情感图片
微信头像男
动态壁纸
动漫配图
伤感图片
首页
>
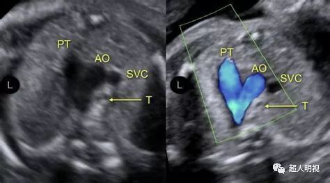
胎儿三血管气管切面
胎儿三血管气管切面,胎儿静脉导管解剖
三血管-气管切面可见畸形
胎儿三血管气管切面重要在哪里?
三血管-气管切面在胎儿心脏畸形筛查中的应用ppt
几个异常的胎儿三血管气管切面病例
期刊胎儿超声三血管和三血管气管切面在心脏大血管畸形筛查中的应用
更多推荐
胎儿静脉导管解剖
胎儿心脏标准8个切面
胎儿三血管切面图解
三血管气管切面示意图
三血管气管切面
三血管气管切面异常
胎儿心脏三血管切面
胎儿动脉导管切面图片
三血管切面示意图
胎儿静脉导管超声切面
胎儿心脏切面图解
胎儿丘脑水平切面图解
胎儿双顶径切面图解
胎儿脑部超声切面图解
胎儿静脉导管
血管横切面图
胎儿静脉导管图
胎儿丘脑平面图解
动脉血管横切面示意图
胎儿nt超声标准切面图
胎儿nt测量标准切面图
大动脉横切面
胎儿超声左右口诀
血管截面图
胎儿头颅超声解剖图谱
血管横截面图片
胎儿超声手法图解技巧
切面
丘脑水平横切面超声图
血管解剖图