首页
伤感说说
动漫配图
心情说说
抖音文案
伤感图片
伤感说说:
伤感的句子说说心情
空间说说
心情说说
爱情说说
女生伤感说说
人生感悟
心情不好的说说
说说带图片
关于生活的说说
说说心情短语
qq空间说说带图片
个性说说
励志名言
一句话经典语录
感悟人生的经典句子
短句吧
情感故事
抖音文案
伤感图片:
伤感图片带字
非主流伤感图片
唯美伤感图片
女生伤感图片
唯美意境图片
悲伤的图片
唯美意境伤感图片
只有字的伤感图片
说说图片
伤心的图片
美甲图片
图片大全
情感图片
微信头像男
动态壁纸
动漫配图
伤感图片
首页
>
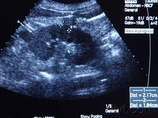
肾透明细胞癌超声图片
肾透明细胞癌超声图片,肾透明细胞癌超声
肾癌(透明细胞性肾细胞癌)
右肾透明细胞癌
肾癌图片 病理透明细胞癌 - 超声医学讨论版 - 爱爱医
【病理提示】肾透明细胞癌
【每日一例| 721例】(右肾)透明细胞癌
更多推荐
肾透明细胞癌超声
肾透明细胞癌图片
肾透明细胞癌
肾透明细胞癌病理
透明细胞癌
肾细胞癌图片
细胞癌早期症状图片
细胞癌图片
肾细胞癌
工作细胞癌细胞
工作细胞癌白图片
乳头状肾细胞癌
鳞状上皮细胞癌图片
细胞癌
细胞癌早期症状
基底细胞癌早期
胆管细胞癌
基底细胞癌
肝内胆管细胞癌
胆管细胞癌能活多久
肾癌图片真实图片
肾癌早期图片
基地细胞癌
工作细胞癌白cp
鳞状上皮细胞癌手绘图
鳞状上皮细胞癌
工作细胞癌白cp肉
工作细胞癌白r18
肾癌