首页
伤感说说
动漫配图
心情说说
抖音文案
伤感图片
伤感说说:
伤感的句子说说心情
空间说说
心情说说
爱情说说
女生伤感说说
人生感悟
心情不好的说说
说说带图片
关于生活的说说
说说心情短语
qq空间说说带图片
个性说说
励志名言
一句话经典语录
感悟人生的经典句子
短句吧
情感故事
抖音文案
伤感图片:
伤感图片带字
非主流伤感图片
唯美伤感图片
女生伤感图片
唯美意境图片
悲伤的图片
唯美意境伤感图片
只有字的伤感图片
说说图片
伤心的图片
美甲图片
图片大全
情感图片
微信头像男
动态壁纸
动漫配图
伤感图片
首页
>
白塞病外阴溃疡鉴别
白塞病外阴溃疡鉴别,白塞氏病生殖溃疡图片
有的白塞病患者已经康复了,你还在问白塞病会不会影响
母女同患罕见病, 反复口腔溃疡警惕白塞病
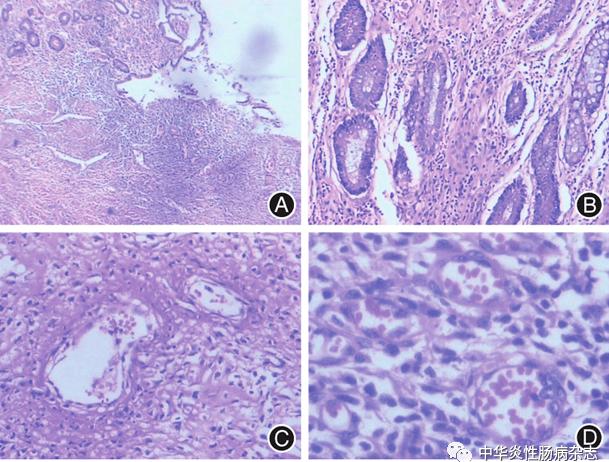
病案撷英丨肠型白塞病伴肠穿孔一例
自从沙利度胺应用于风湿免疫病,它使以前很难控制的白塞病口腔溃疡
白塞病的临床表现,你知道多少?
更多推荐
白塞氏病生殖溃疡图片
白塞病症状生殖图片
白塞病皮肤图片
白塞氏病外阴溃疡
白塞病针刺反应图片
白塞病外阴溃疡
白塞病外阴溃疡图片
白塞病口腔溃疡
白塞病是怎么引起的
白塞病早期
白塞病的症状
白塞病怎么治疗
白塞病治疗
白塞病女性
白塞病
白塞病毛囊炎
白塞病皮肤
白塞病眼睛
白塞病早期症图片
白塞病的症状图片
白塞病图片早期
白塞病晚期图片
白塞病皮肤症状图片
白塞病图片
白塞病眼睛图片
白塞病皮肤红斑图片
糖尿病足溃疡
舌头上溃疡怎么治
溃疡
喉咙后壁白色溃疡图片