首页
伤感说说
动漫配图
心情说说
抖音文案
伤感图片
伤感说说:
伤感的句子说说心情
空间说说
心情说说
爱情说说
女生伤感说说
人生感悟
心情不好的说说
说说带图片
关于生活的说说
说说心情短语
qq空间说说带图片
个性说说
励志名言
一句话经典语录
感悟人生的经典句子
短句吧
情感故事
抖音文案
伤感图片:
伤感图片带字
非主流伤感图片
唯美伤感图片
女生伤感图片
唯美意境图片
悲伤的图片
唯美意境伤感图片
只有字的伤感图片
说说图片
伤心的图片
美甲图片
图片大全
情感图片
微信头像男
动态壁纸
动漫配图
伤感图片
首页
>
液平面x线图片
液平面x线图片,气液平面x线图片
胸部x线,这么看你简单多了
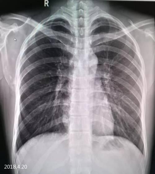
4.17 气胸复张,右下肺见液平面已吸收
肺部空洞的诊断及鉴别诊断
x线入门 | 初学者一定要记住的32张平片!(描述 诊断)
x线检查法
更多推荐
气液平面x线图片
腹部液平面x线图片
腹部气液平面x线图片
肺部气液平面x线图片
气液平面ct图片
液气胸的x线图片
气液平面x线
x线图片
气液平面图片
正常足x线图片
肠梗阻液平面图片
肠梗阻x线气液平面图
气胸x线胸片图解
肺气肿x线图片
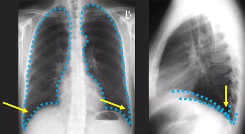
胸腔积液x线胸片图解
肠梗阻x线图片
踝关节x线图片
肺结核x线图片
肩关节x线图片
液平面
腹部平片液气平示意图
支气管炎x线图片
鼻骨侧位x线图片
骨肉瘤x线图片
肠梗阻气液平面图片
腺样体肥大x线图片
dr各部位x线摆位图片
肠梗阻x线图片影像学
正常膝关节x线图片
腕关节侧位x线图片