首页
伤感说说
动漫配图
心情说说
抖音文案
伤感图片
伤感说说:
伤感的句子说说心情
空间说说
心情说说
爱情说说
女生伤感说说
人生感悟
心情不好的说说
说说带图片
关于生活的说说
说说心情短语
qq空间说说带图片
个性说说
励志名言
一句话经典语录
感悟人生的经典句子
短句吧
情感故事
抖音文案
伤感图片:
伤感图片带字
非主流伤感图片
唯美伤感图片
女生伤感图片
唯美意境图片
悲伤的图片
唯美意境伤感图片
只有字的伤感图片
说说图片
伤心的图片
美甲图片
图片大全
情感图片
微信头像男
动态壁纸
动漫配图
伤感图片
首页
>
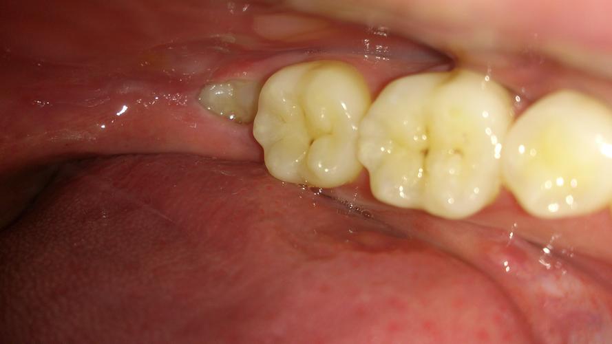
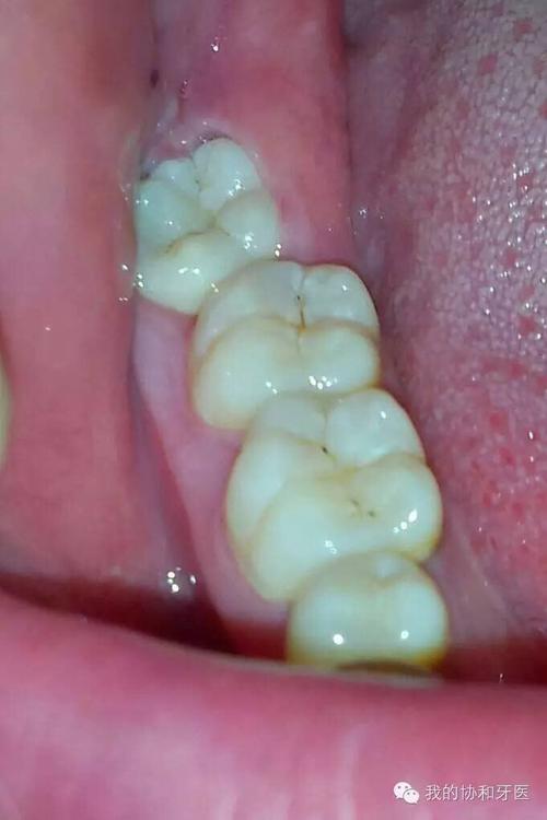
智齿正常萌出图片
智齿正常萌出图片,正常的智齿图片
深圳拔智齿本来就胖拔完智齿还肿那还有必要拔智齿吗
这个是智齿么?要不要拔掉呢
智齿要不要拔
一次性微创拔除阻生智齿
牙医告诉您,智齿到底用不用拔除
更多推荐
正常的智齿图片
智齿图片卡通图片
智齿图片
阻生智齿图片
智齿图片蛀牙
智齿图片发炎
智齿的位置图片
智齿长什么样子图片
不需要拔的智齿图片
哪种智齿最难拔图片
智齿图片表情包
智齿包在肉里面图片
牙齿图片
智齿后面的肉肿了图片
智齿可爱
智齿拍片
智齿位置图
拔智齿后的白色假膜图
皮试不正常的图片
正常白带图片少女
正常扁桃体图片
正常心电图图片
智齿x光片
长智齿
智齿
正常肛门图片
智齿长在哪里
阻生智齿
智齿是什么样子的
智齿盲袋