首页
伤感说说
动漫配图
心情说说
抖音文案
伤感图片
伤感说说:
伤感的句子说说心情
空间说说
心情说说
爱情说说
女生伤感说说
人生感悟
心情不好的说说
说说带图片
关于生活的说说
说说心情短语
qq空间说说带图片
个性说说
励志名言
一句话经典语录
感悟人生的经典句子
短句吧
情感故事
抖音文案
伤感图片:
伤感图片带字
非主流伤感图片
唯美伤感图片
女生伤感图片
唯美意境图片
悲伤的图片
唯美意境伤感图片
只有字的伤感图片
说说图片
伤心的图片
美甲图片
图片大全
情感图片
微信头像男
动态壁纸
动漫配图
伤感图片
首页
>
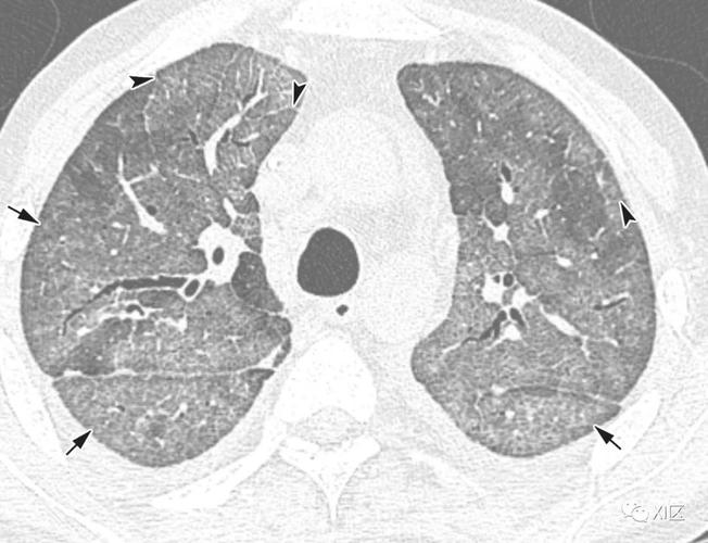
病毒性肺炎图片
病毒性肺炎图片,病毒性肺炎切片
【ppt】病毒性肺炎的相关知识学习
病毒性肺炎的影像学表现
决战新病毒(2)| 特殊时期应对病毒性肺炎,不要「厚此薄彼」
中医是如何认识病毒性肺炎的?
细菌性肺炎 vs 病毒性肺炎,判断就是这么简单!
更多推荐
病毒性肺炎切片
病毒性肺炎
病毒性疣图片女性
病毒性疱疹图片
病毒性疣图片男性
病毒性肺炎CT
病毒性皮疹图片
病毒性水泡图片
肺炎图片
病毒性疣图片
儿童病毒性疱疹图片
病毒性疱疹图片初期
新冠肺炎图片
病毒性湿疹的图片
新冠肺炎病毒
预防病毒性肺炎手抄报
肺炎ct图片
病毒性疹子的症状图片
病毒性皮肤病
病毒性咽峡炎症状
病毒性湿疹的症状图片
病毒性疱疹
细菌性肺炎
真菌性肺炎
病毒性脑膜炎
大叶性肺炎
病毒性皮疹症状
病毒性皮疹小儿
肺炎婴儿口吐泡泡图片
病毒性软疣儿童