首页
伤感说说
动漫配图
心情说说
抖音文案
伤感图片
伤感说说:
伤感的句子说说心情
空间说说
心情说说
爱情说说
女生伤感说说
人生感悟
心情不好的说说
说说带图片
关于生活的说说
说说心情短语
qq空间说说带图片
个性说说
励志名言
一句话经典语录
感悟人生的经典句子
短句吧
情感故事
抖音文案
伤感图片:
伤感图片带字
非主流伤感图片
唯美伤感图片
女生伤感图片
唯美意境图片
悲伤的图片
唯美意境伤感图片
只有字的伤感图片
说说图片
伤心的图片
美甲图片
图片大全
情感图片
微信头像男
动态壁纸
动漫配图
伤感图片
首页
>
间质性肺炎影像学
间质性肺炎影像学,间质性肺炎肺纤维化
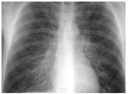
图7 感染性间质性肺炎胸部正位片可见双侧弥漫性间质性改变,痰培养
社区 69 影像读片 69 x线病例讨论 69 x11618:间质性肺炎?
其它 间质性肺炎的分类及简单介绍 写美篇 影像上下结论的时候建议用
特发型间质性肺炎病理和影像学对照.ppt 42页
其它 间质性肺炎的分类及简单介绍 写美篇 影像上下结论的时候建议用
更多推荐
间质性肺炎肺纤维化
间质性肺炎x线
间质性肺炎
间质性肺炎早期
间质性肺炎ct
间质性肺炎胸片
间质性肺炎镜下
间质性肺炎症状
间质性肺炎切片
间质性肺炎治疗
间质性肺炎ppt
间质性肺炎图片
猪间质性肺炎
间质性肺炎严重吗?
间质性肺炎传染吗
间质性肺炎ct表现
肺炎影像学表现ct
间质性肺炎x线图片
肺大泡影像学表现
间质性肺炎ct图片
肺气肿影像学表现
肺不张影像学表现
肺癌的影像学表现
间质性肺炎是什么意思
间质性肺炎ct报告单
间质性肺炎病理切片
间质性肺炎早期ct图片
间质性肺炎ct图片特点
肺大泡影像学表现图片
肺癌ct图片影像学