首页
伤感说说
动漫配图
心情说说
抖音文案
伤感图片
伤感说说:
伤感的句子说说心情
空间说说
心情说说
爱情说说
女生伤感说说
人生感悟
心情不好的说说
说说带图片
关于生活的说说
说说心情短语
qq空间说说带图片
个性说说
励志名言
一句话经典语录
感悟人生的经典句子
短句吧
情感故事
抖音文案
伤感图片:
伤感图片带字
非主流伤感图片
唯美伤感图片
女生伤感图片
唯美意境图片
悲伤的图片
唯美意境伤感图片
只有字的伤感图片
说说图片
伤心的图片
美甲图片
图片大全
情感图片
微信头像男
动态壁纸
动漫配图
伤感图片
首页
>
间质性肺炎影像学
间质性肺炎影像学,间质性肺炎肺纤维化
网格 ≈ 间质性肺炎 间质性肺炎的影像学表现,复杂的很复杂,有时候和
新型冠状病毒肺炎与间质性肺炎的鉴别诊断
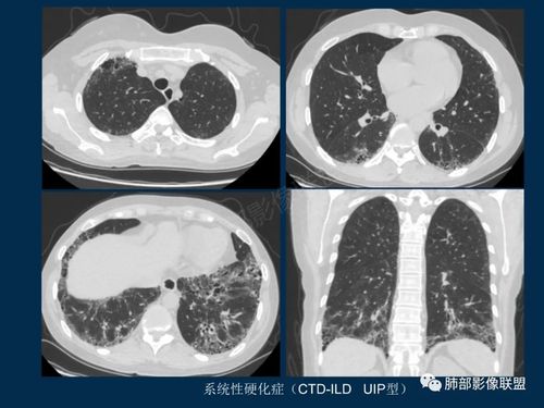
结缔组织病继发间质性肺炎的影像学特点 不同的结缔组织病,继发的间
脱屑性间质性肺炎(dip)影像表现
特发性间质性肺炎的病理影像特点
更多推荐
间质性肺炎肺纤维化
间质性肺炎x线
间质性肺炎
间质性肺炎早期
间质性肺炎ct
间质性肺炎胸片
间质性肺炎镜下
间质性肺炎症状
间质性肺炎切片
间质性肺炎治疗
间质性肺炎ppt
间质性肺炎图片
猪间质性肺炎
间质性肺炎严重吗?
间质性肺炎传染吗
间质性肺炎ct表现
肺炎影像学表现ct
间质性肺炎x线图片
肺大泡影像学表现
间质性肺炎ct图片
肺气肿影像学表现
肺不张影像学表现
肺癌的影像学表现
间质性肺炎是什么意思
间质性肺炎ct报告单
间质性肺炎病理切片
间质性肺炎早期ct图片
间质性肺炎ct图片特点
肺大泡影像学表现图片
肺癌ct图片影像学