首页
伤感说说
动漫配图
心情说说
抖音文案
伤感图片
伤感说说:
伤感的句子说说心情
空间说说
心情说说
爱情说说
女生伤感说说
人生感悟
心情不好的说说
说说带图片
关于生活的说说
说说心情短语
qq空间说说带图片
个性说说
励志名言
一句话经典语录
感悟人生的经典句子
短句吧
情感故事
抖音文案
伤感图片:
伤感图片带字
非主流伤感图片
唯美伤感图片
女生伤感图片
唯美意境图片
悲伤的图片
唯美意境伤感图片
只有字的伤感图片
说说图片
伤心的图片
美甲图片
图片大全
情感图片
微信头像男
动态壁纸
动漫配图
伤感图片
首页
>
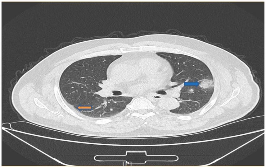
新冠肺部ct
新冠肺部ct,
电子书精选新冠肺炎ct早期征象与鉴别诊断
新型冠状病毒型肺炎患者的ct表现
两女子没得新冠但肺部ct呈毛玻璃影,医生一查原因无语了
ai医生看ct准确率达96,将上岗百家医院
助力新冠ct检测依图4天上线ai系统准确率达973已服务数万人
更多推荐
游乐场ppt模板
迪士尼ppt