首页
伤感说说
动漫配图
心情说说
抖音文案
伤感图片
伤感说说:
伤感的句子说说心情
空间说说
心情说说
爱情说说
女生伤感说说
人生感悟
心情不好的说说
说说带图片
关于生活的说说
说说心情短语
qq空间说说带图片
个性说说
励志名言
一句话经典语录
感悟人生的经典句子
短句吧
情感故事
抖音文案
伤感图片:
伤感图片带字
非主流伤感图片
唯美伤感图片
女生伤感图片
唯美意境图片
悲伤的图片
唯美意境伤感图片
只有字的伤感图片
说说图片
伤心的图片
美甲图片
图片大全
情感图片
微信头像男
动态壁纸
动漫配图
伤感图片
首页
>
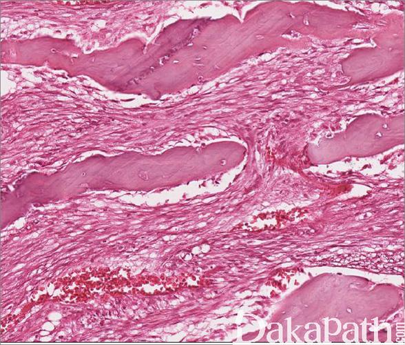
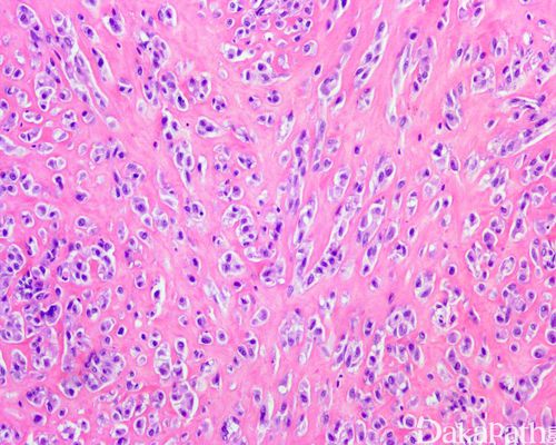
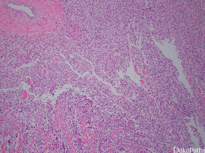
骨肉瘤切片
骨肉瘤切片,骨肉瘤图片
骨肉瘤
骨外骨肉瘤
眼眶骨肉瘤
眼眶骨肉瘤
高分化髓内骨肉瘤
更多推荐
骨肉瘤图片
上颌骨骨肉瘤
骨肉瘤
骨肉瘤恶性肿瘤
骨肉瘤病理
骨肉瘤恶性
骨肉瘤外观
骨肉瘤部位
骨肉瘤症状
骨肉瘤细胞
骨肉瘤图片恶性
骨肉瘤x线
骨肉瘤图片症状
骨肉瘤1期图片
骨肉瘤初期图片
骨肉瘤图片外观
骨肉瘤外表图片
骨肉瘤影像学
骨肉瘤死的样子
骨肉瘤早期皮肤照片
骨肉瘤红蓝铅笔
肺切片
肝切片
淋巴结切片
肾切片
病理切片
切片面包图片
切片
甲状腺切片
睾丸切片