首页
伤感说说
动漫配图
心情说说
抖音文案
伤感图片
伤感说说:
伤感的句子说说心情
空间说说
心情说说
爱情说说
女生伤感说说
人生感悟
心情不好的说说
说说带图片
关于生活的说说
说说心情短语
qq空间说说带图片
个性说说
励志名言
一句话经典语录
感悟人生的经典句子
短句吧
情感故事
抖音文案
伤感图片:
伤感图片带字
非主流伤感图片
唯美伤感图片
女生伤感图片
唯美意境图片
悲伤的图片
唯美意境伤感图片
只有字的伤感图片
说说图片
伤心的图片
美甲图片
图片大全
情感图片
微信头像男
动态壁纸
动漫配图
伤感图片
首页
>
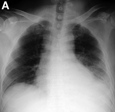
胸腔积液x线胸片报告
胸腔积液x线胸片报告,胸腔积液x线胸片图解
胸部超声提示左侧胸腔积液. 胸部增强ct结果如图b所示.
左侧胸腔积液 c.左侧液气胸 d.左侧肺不张 e.以上都不对
拍照胸片复查胸腔积液时可见两侧锁骨对称.
胸片(70岁,男,咳嗽,气喘,发烧,胸腔积液)
右肺胸膜肥厚 b.右肺不张 c.右侧胸腔积液 d.右肺炎症 e.右肺肺栓塞
更多推荐
胸腔积液x线胸片图解
气胸x线胸片报告
胸腔积液胸片典型图片
胸腔积液胸片
气胸x线胸片报告书写
胸腔积液胸片典型
胸腔积液胸片图解
胸腔积液x线图片
胸腔积液x线
胸腔积液的x线表现
正常胸片x线报告
正常胸片和气胸胸片
气胸x线胸片特征
典型气胸x线胸片图解
气胸x线胸片图解
胸腔积液ct图片
正常胸片x线报告书写
胸腔积液ct图片讲解
胸腔积液图片
胸腔积液
气胸胸片典型图片
肺癌x线胸片图解
气胸胸片怎么看
气胸胸片
胸腔积液的颜色
肺结核x线胸片图解
肺不张x线胸片图解
胸腔积液怎么治疗
胸腔积液抽水图片颜色
正常的胸片报告单