首页
伤感说说
动漫配图
心情说说
抖音文案
伤感图片
伤感说说:
伤感的句子说说心情
空间说说
心情说说
爱情说说
女生伤感说说
人生感悟
心情不好的说说
说说带图片
关于生活的说说
说说心情短语
qq空间说说带图片
个性说说
励志名言
一句话经典语录
感悟人生的经典句子
短句吧
情感故事
抖音文案
伤感图片:
伤感图片带字
非主流伤感图片
唯美伤感图片
女生伤感图片
唯美意境图片
悲伤的图片
唯美意境伤感图片
只有字的伤感图片
说说图片
伤心的图片
美甲图片
图片大全
情感图片
微信头像男
动态壁纸
动漫配图
伤感图片
首页
>
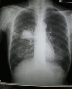
肺癌颈部水肿图片
肺癌颈部水肿图片,肺癌颈部肿大图片
白银市第一人民医院肺癌mdt病历汇报(呼吸二科)
肺癌早期的4个征兆,多数人都忽视了,希望你早了解!
左肺下叶巨大软组织肿块 肺癌?
第三章 病例分析——肺癌
肺癌手术后还可能出现张力性气胸 急性肺水肿是肺切除后严重的
更多推荐
肺癌颈部肿大图片
肺癌图片高清图片
肺癌晚期脖子肿的图片
肺癌转移脖子图片
肺癌图片
肺癌晚期图片
痔疮水肿图片
女性颈部淋巴肿瘤图片
颈部淋巴结肿大图片
肺癌早期痰液图片
颈部癣的症状图片
肺癌ct图片
肺癌早期杵状指图片
血管神经性水肿图片
水肿图片
尿道口水肿图片
良性颈部淋巴瘤图片
早期肺癌痰中带血图片
眼睑水肿图片
肺癌早期背痛位置图片
肾炎轻度眼睑水肿图片
结膜水肿图片
颈部淋巴结位置图片
痔术后水肿5天图片
肺癌三个症状脖子
肺癌的肺
肺癌患者的肺
颈部淋巴结肿大
肺癌早期症状
肺癌背疼位置图