首页
伤感说说
动漫配图
心情说说
抖音文案
伤感图片
伤感说说:
伤感的句子说说心情
空间说说
心情说说
爱情说说
女生伤感说说
人生感悟
心情不好的说说
说说带图片
关于生活的说说
说说心情短语
qq空间说说带图片
个性说说
励志名言
一句话经典语录
感悟人生的经典句子
短句吧
情感故事
抖音文案
伤感图片:
伤感图片带字
非主流伤感图片
唯美伤感图片
女生伤感图片
唯美意境图片
悲伤的图片
唯美意境伤感图片
只有字的伤感图片
说说图片
伤心的图片
美甲图片
图片大全
情感图片
微信头像男
动态壁纸
动漫配图
伤感图片
首页
>
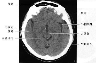
正常颅脑ct图片
正常颅脑ct图片,正常颅脑ct图片 清晰
头颅ct如何预判超早期脑梗死
颅脑ct常用的三个窗(图a-c): 图a:骨窗(the bone window) 图b:脑窗
科学现场调查:ct检查会致癌?
正常头颅ct,mri图解
正常头颅ct,mri图解ppt
更多推荐
正常颅脑ct图片 清晰
颅脑ct解剖图谱
正常头颅ct图片
正常颅脑ct图片 解剖
正常颅脑ct
颅脑横断面ct解剖图
正常头颅ct解剖图
脑ct正常结构解剖图
脑梗塞ct表现图片
头颅CT图片
新手看脑部ct片图解
脑梗塞ct图片
正常颅脑磁共振图片
脑ct图片讲解
脑萎缩ct图片
正常人脑部ct高清图片
脑出血ct图片解说图
颅脑ct八个层面清晰图
正常颅脑ct解剖层面
正常颅脑ct图片 头颅
正常脑ct图片
正常肺ct片图片图解
正常肺ct片图片
正常颅脑CT
颅脑ct解剖图
ct图片胸片
正常头颅ct
ct片子图片
颅脑断层解剖图ct
健康人的ct胸片图片